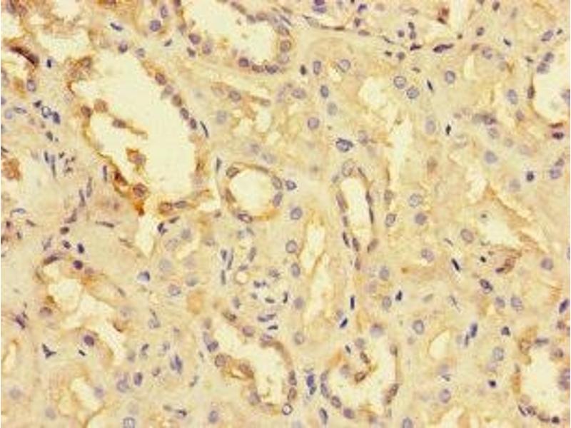
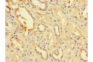
TPPP3 抗体 (AA 2-176)
Our Local Distributor
北京 101111
Quick Overview for TPPP3 抗体 (AA 2-176) (ABIN7173726)
抗原
See all TPPP3 抗体适用
宿主
克隆类型
标记
应用范围
-
-
抗原表位
- AA 2-176
-
原理
- TPPP3 Antibody
-
纯化方法
- Protein G purified
-
纯度
- >95 %
-
免疫原
- Recombinant Human Tubulin polymerization-promoting protein family member 3 protein (2-176AA)
-
亚型
- IgG
-
-
-
-
应用备注
- Optimal working dilution should be determined by the investigator.
-
限制
- 仅限研究用
-
-
-
状态
- Liquid
-
缓冲液
-
Preservative: 0.03 % Proclin 300
Constituents: 50 % Glycerol, 0.01M PBS, PH 7.4 -
储存液
- ProClin
-
注意事项
- This product contains ProClin: a POISONOUS AND HAZARDOUS SUBSTANCE which should be handled by trained staff only.
-
储存条件
- -20 °C,-80 °C
-
储存方法
- Upon receipt, store at -20°C or -80°C. Avoid repeated freeze.
-
-
- TPPP3 (Tubulin Polymerization-Promoting Protein Family Member 3 (TPPP3))
-
别名
- TPPP3
-
背景
-
Background: Binds tubulin and has microtubule bundling activity. May play a role in cell proliferation and mitosis.
Aliases: CGI-38 antibody, p20 antibody, p25gamma antibody, TPPP/p20 antibody, Tppp3 antibody, TPPP3_HUMAN antibody, Tubulin polymerization-promoting protein family member 3 antibody
-
UniProt
- Q9BW30
抗原
-