电话:
+86 (0512) 65829739
传真:
+86 (010) 6788 5057
电子邮件:
orders@antibodies-online.cn

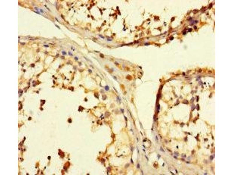
TULP3 抗体 (AA 1-260)

The 兔 多克隆 anti-TULP3 antibody is suitable to detect TULP3 in samples from 人. It has been validated for ELISA 和 IHC.
产品编号 ABIN7173639
发货至: 中国
Contact our Customer Service for availability and price in your country. Contact Info

Our Local Distributor

中国
北京 101111
No. 88 KeChuang 6th Street
Beijing Economic Technological Development Area
Room 801-803
4A Biotech Co.,Ltd.
Tel +86 (0512) 65829739 传真 +86 (010) 6788 5057

Quick Overview for TULP3 抗体 (AA 1-260) (ABIN7173639)

抗原

See all TULP3 抗体
TULP3 (Tubby Like Protein 3 (TULP3))

适用

  • 29
  • 6
  • 4
  • 4
  • 3
  • 3
  • 3
  • 2
  • 1

宿主

  • 23
  • 6

克隆类型

  • 25
  • 4
多克隆

标记

  • 20
  • 3
  • 2
  • 2
  • 1
  • 1
This TULP3 antibody is un-conjugated

应用范围

  • 24
  • 14
  • 6
  • 4
  • 3
  • 2
  • 2
  • 1
  • 1
  • 1
  • 1
ELISA, Immunohistochemistry (IHC)
  • 抗原表位

    • 9
    • 4
    • 2
    • 2
    • 1
    • 1
    • 1
    • 1
    • 1
    • 1
    • 1
    AA 1-260

    原理

    TULP3 Antibody

    纯化方法

    Protein G purified

    纯度

    >95 %

    免疫原

    Recombinant Human Tubby-related protein 3 protein (1-260AA)

    亚型

    IgG
  • 应用备注

    Optimal working dilution should be determined by the investigator.

    限制

    仅限研究用
  • 状态

    Liquid

    缓冲液

    Preservative: 0.03 % Proclin 300
    Constituents: 50 % Glycerol, 0.01M PBS, PH 7.4

    储存液

    ProClin

    注意事项

    This product contains ProClin: a POISONOUS AND HAZARDOUS SUBSTANCE which should be handled by trained staff only.

    储存条件

    -20 °C,-80 °C

    储存方法

    Upon receipt, store at -20°C or -80°C. Avoid repeated freeze.
  • 抗原

    TULP3 (Tubby Like Protein 3 (TULP3))

    别名

    TULP3

    背景

    Background: Negative regulator of the Shh signaling transduction pathway: recruited to primary cilia via association with the IFT complex A (IFT-A) and is required for recruitment of G protein-coupled receptor GPR161 to cilia, a promoter of PKA-dependent basal repression machinery in Shh signaling. Binds to phosphorylated inositide (phosphoinositide) lipids. Both IFT-A- and phosphoinositide-binding properties are required to regulate ciliary G protein-coupled receptor trafficking. Not involved in ciliogenesis.

    Aliases: MGC45295 antibody, Tubby like protein 3 antibody, Tubby related protein 3 antibody, Tubby-like protein 3 antibody, Tubby-related protein 3 antibody, TUBL 3 antibody, TUBL3 antibody, TULP 3 antibody, TULP3 antibody, TULP3_HUMAN antibody

    UniProt

    O75386

    途径

    Regulation of G-Protein Coupled Receptor Protein Signaling, Tube Formation
You are here: