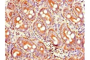
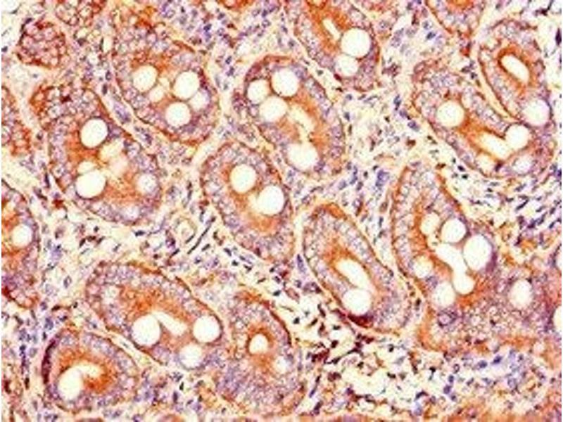
PRSS2 抗体 (AA 24-247)
Our Local Distributor
北京 101111
Quick Overview for PRSS2 抗体 (AA 24-247) (ABIN7173598)
抗原
See all PRSS2 抗体适用
宿主
克隆类型
标记
应用范围
-
-
抗原表位
- AA 24-247
-
原理
- PRSS2 Antibody
-
交叉反应
- 小鼠
-
纯化方法
- Protein G purified
-
纯度
- >95 %
-
免疫原
- Recombinant Human Trypsin-2 protein (24-247AA)
-
亚型
- IgG
-
-
-
-
应用备注
- Optimal working dilution should be determined by the investigator.
-
限制
- 仅限研究用
-
-
-
状态
- Liquid
-
缓冲液
-
Preservative: 0.03 % Proclin 300
Constituents: 50 % Glycerol, 0.01M PBS, PH 7.4 -
储存液
- ProClin
-
注意事项
- This product contains ProClin: a POISONOUS AND HAZARDOUS SUBSTANCE which should be handled by trained staff only.
-
储存条件
- -20 °C,-80 °C
-
储存方法
- Upon receipt, store at -20°C or -80°C. Avoid repeated freeze.
-
-
- PRSS2 (Protease, serine, 2 (Trypsin 2) (PRSS2))
-
别名
- PRSS2
-
背景
-
Background: In the ileum, may be involved in defensin processing, including DEFA5.
Aliases: Anionic trypsinogen antibody, EC 3.4.21.4 antibody, MGC111183 antibody, MGC120174 antibody, Protease serine 2 preproprotein antibody, Protease, serine, 2 (trypsin 2) antibody, Protease, serine, 2 antibody, Protease, serine, 2, preproprotein antibody, Prss2 antibody, Serine protease 2 antibody, TRY2 antibody, TRY2_HUMAN antibody, TRY8 antibody, TRYP2 antibody, Trypsin 2 antibody, Trypsin II antibody, Trypsin-2 antibody, Trypsinogen 2 antibody
-
UniProt
- P07478
抗原
-