电话:
+86 (0512) 65829739
传真:
+86 (010) 6788 5057
电子邮件:
orders@antibodies-online.cn

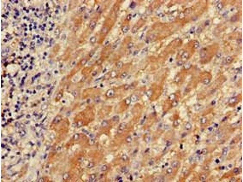
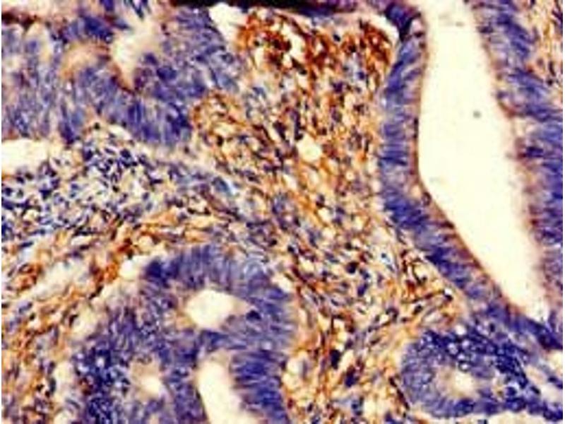
TPM3 抗体 (AA 18-224)

The 兔 多克隆 anti-TPM3 antibody is suitable to detect TPM3 in samples from 人. It has been validated for IHC, ELISA 和 IF.
产品编号 ABIN7173558
发货至: 中国
Contact our Customer Service for availability and price in your country. Contact Info

Our Local Distributor

中国
北京 101111
No. 88 KeChuang 6th Street
Beijing Economic Technological Development Area
Room 801-803
4A Biotech Co.,Ltd.
Tel +86 (0512) 65829739 传真 +86 (010) 6788 5057

Quick Overview for TPM3 抗体 (AA 18-224) (ABIN7173558)

抗原

See all TPM3 抗体
TPM3 (Tropomyosin 3 (TPM3))

适用

  • 32
  • 19
  • 14
  • 2
  • 2
  • 2
  • 2
  • 2
  • 2
  • 1
  • 1
  • 1
  • 1
  • 1
  • 1

宿主

  • 28
  • 7

克隆类型

  • 29
  • 6
多克隆

标记

  • 24
  • 2
  • 2
  • 1
  • 1
  • 1
  • 1
  • 1
  • 1
  • 1
This TPM3 antibody is un-conjugated

应用范围

  • 23
  • 11
  • 10
  • 8
  • 6
  • 4
  • 3
  • 1
Immunohistochemistry (IHC), ELISA, Immunofluorescence (IF)
  • 抗原表位

    • 4
    • 2
    • 2
    • 1
    • 1
    • 1
    • 1
    • 1
    • 1
    • 1
    AA 18-224

    原理

    TPM3 Antibody

    纯化方法

    Protein G purified

    纯度

    >95 %

    免疫原

    Recombinant Human Tropomyosin alpha-3 chain protein (18-224AA)

    亚型

    IgG
  • 应用备注

    Optimal working dilution should be determined by the investigator.

    限制

    仅限研究用
  • 状态

    Liquid

    缓冲液

    Preservative: 0.03 % Proclin 300
    Constituents: 50 % Glycerol, 0.01M PBS, pH 7.4

    储存液

    ProClin

    注意事项

    This product contains ProClin: a POISONOUS AND HAZARDOUS SUBSTANCE which should be handled by trained staff only.

    储存条件

    -20 °C,-80 °C

    储存方法

    Upon receipt, store at -20°C or -80°C. Avoid repeated freeze.
  • 抗原

    TPM3 (Tropomyosin 3 (TPM3))

    别名

    TPM3

    背景

    Background: Binds to actin filaments in muscle and non-muscle cells. Plays a central role, in association with the troponin complex, in the calcium dependent regulation of vertebrate striated muscle contraction. Smooth muscle contraction is regulated by interaction with caldesmon. In non-muscle cells is implicated in stabilizing cytoskeleton actin filaments.

    Aliases: Alpha tropomyosin 3 antibody, Alpha tropomyosin slow skeletal antibody, CFTD antibody, Cytoskeletal tropomyosin TM30 antibody, FLJ41118 antibody, gamma TM antibody, Gamma tropomyosin antibody, Gamma-tropomyosin antibody, Heat stable cytoskeletal protein 30 kDa antibody, hscp30 antibody, hTM30nm antibody, hTM5 antibody, hTMnm antibody, MGC102590 antibody, MGC14582 antibody, MGC3261 antibody, MGC72094 antibody, NEM1 antibody, OK/SW-cl.5 antibody, OTTHUMP00000034019 antibody, OTTHUMP00000034171 antibody, OTTHUMP00000034172 antibody, TM 5 antibody, TM-5 antibody, TM3 antibody, TM30 antibody, TM30nm antibody, TM5 antibody, Tm5NM antibody, Tpm 5 antibody, TPM3 antibody, TPM3/NTRK1 FUSION GENE, INCLUDED antibody, TPM3_HUMAN antibody, Tpm5 antibody, TPMsk3 antibody, TRK antibody, TRK ONCOGENE, INCLUDED antibody, Trop 5 antibody, Tropomyosin 3 antibody, Tropomyosin 3 gamma antibody, Tropomyosin 5 antibody, Tropomyosin alpha 3 chain antibody, Tropomyosin alpha-3 chain antibody, Tropomyosin gamma antibody, Tropomyosin-3 antibody, Tropomyosin-5 antibody

    UniProt

    P06753
You are here: