电话:
+86 (0512) 65829739
传真:
+86 (010) 6788 5057
电子邮件:
orders@antibodies-online.cn

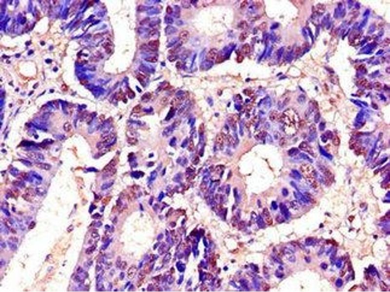
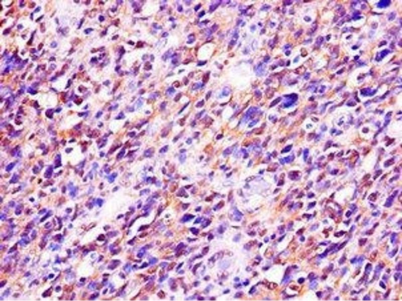
C22orf28 抗体 (AA 52-229)

This 兔 多克隆 antibody specifically detects C22orf28 in ELISA, WB, IHC 和 IF. It exhibits reactivity toward 人.
产品编号 ABIN7173542
发货至: 中国
Contact our Customer Service for availability and price in your country. Contact Info

Our Local Distributor

中国
北京 101111
No. 88 KeChuang 6th Street
Beijing Economic Technological Development Area
Room 801-803
4A Biotech Co.,Ltd.
Tel +86 (0512) 65829739 传真 +86 (010) 6788 5057

Quick Overview for C22orf28 抗体 (AA 52-229) (ABIN7173542)

抗原

See all C22orf28 抗体
C22orf28 (Chromosome 22 Open Reading Frame 28 (C22orf28))

适用

  • 39
  • 31
  • 28
  • 8
  • 3
  • 3
  • 3
  • 3
  • 3
  • 2
  • 2
  • 2
  • 2
  • 2
  • 2
  • 1
  • 1

宿主

  • 44
  • 3

克隆类型

  • 47
多克隆

标记

  • 16
  • 5
  • 5
  • 4
  • 1
  • 1
  • 1
  • 1
  • 1
  • 1
  • 1
  • 1
  • 1
  • 1
  • 1
  • 1
  • 1
  • 1
  • 1
  • 1
  • 1
This C22orf28 antibody is un-conjugated

应用范围

  • 32
  • 18
  • 13
  • 7
  • 4
  • 3
  • 2
  • 1
  • 1
  • 1
ELISA, Western Blotting (WB), Immunohistochemistry (IHC), Immunofluorescence (IF)
  • 抗原表位

    • 5
    • 5
    • 2
    • 2
    • 1
    • 1
    • 1
    • 1
    • 1
    AA 52-229

    原理

    RTCB Antibody

    交叉反应

    小鼠

    纯化方法

    Protein G purified

    纯度

    >95 %

    免疫原

    Recombinant Human tRNA-splicing ligase RtcB homolog protein (52-229AA)

    亚型

    IgG
  • 应用备注

    Optimal working dilution should be determined by the investigator.

    限制

    仅限研究用
  • 状态

    Liquid

    缓冲液

    Preservative: 0.03 % Proclin 300
    Constituents: 50 % Glycerol, 0.01M PBS, PH 7.4

    储存液

    ProClin

    注意事项

    This product contains ProClin: a POISONOUS AND HAZARDOUS SUBSTANCE which should be handled by trained staff only.

    储存条件

    -20 °C,-80 °C

    储存方法

    Upon receipt, store at -20°C or -80°C. Avoid repeated freeze.
  • 抗原

    C22orf28 (Chromosome 22 Open Reading Frame 28 (C22orf28))

    别名

    RTCB

    背景

    Background: Catalytic subunit of the tRNA-splicing ligase complex that acts by directly joining spliced tRNA halves to mature-sized tRNAs by incorporating the precursor-derived splice junction phosphate into the mature tRNA as a canonical 3\\\',5\\\'-phosphodiester. May act as an RNA ligase with broad substrate specificity, and may function toward other RNAs.

    Aliases: Ankyrin repeat domain 54 antibody, Chromosome 22 open reading frame 28 antibody, DJ149A16.6 antibody, HSPC117 antibody, Hypothetical protein LOC51493 antibody, Novel protein HSPC117 antibody, OTTHUMP00000028639 antibody, RP1-149A16.6 antibody, rtcB antibody, RTCB_HUMAN antibody, tRNA-splicing ligase RtcB homolog antibody

    UniProt

    Q9Y3I0
You are here: