电话:
+86 (0512) 65829739
传真:
+86 (010) 6788 5057
电子邮件:
orders@antibodies-online.cn

Dnmt2 抗体 (AA 170-269)

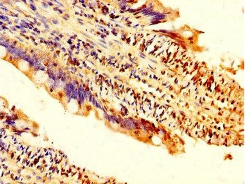
The 兔 多克隆 anti-Dnmt2 antibody is suitable to detect Dnmt2 in samples from 人. It has been validated for ELISA, WB 和 IHC.
产品编号 ABIN7173504
发货至: 中国
Contact our Customer Service for availability and price in your country. Contact Info

Our Local Distributor

中国
北京 101111
No. 88 KeChuang 6th Street
Beijing Economic Technological Development Area
Room 801-803
4A Biotech Co.,Ltd.
Tel +86 (0512) 65829739 传真 +86 (010) 6788 5057

Quick Overview for Dnmt2 抗体 (AA 170-269) (ABIN7173504)

抗原

See all Dnmt2 (TRDMT1) 抗体
Dnmt2 (TRDMT1) (tRNA Aspartic Acid Methyltransferase 1 (TRDMT1))

适用

  • 68
  • 26
  • 7
  • 2
  • 2
  • 2
  • 2
  • 1
  • 1
  • 1

宿主

  • 64
  • 7

克隆类型

  • 66
  • 5
多克隆

标记

  • 32
  • 6
  • 5
  • 5
  • 3
  • 3
  • 1
  • 1
  • 1
  • 1
  • 1
  • 1
  • 1
  • 1
  • 1
  • 1
  • 1
  • 1
  • 1
  • 1
  • 1
  • 1
  • 1
This Dnmt2 antibody is un-conjugated

应用范围

  • 43
  • 37
  • 25
  • 13
  • 13
  • 8
  • 7
  • 6
  • 3
  • 3
  • 1
  • 1
ELISA, Western Blotting (WB), Immunohistochemistry (IHC)
  • 抗原表位

    • 15
    • 8
    • 8
    • 7
    • 6
    • 5
    • 5
    • 1
    • 1
    • 1
    • 1
    • 1
    • 1
    • 1
    • 1
    • 1
    AA 170-269

    原理

    TRDMT1 Antibody

    交叉反应

    大鼠

    纯化方法

    Protein G purified

    纯度

    >95 %

    免疫原

    Recombinant Human tRNA (cytosine(38)-C(5))-methyltransferase protein (170-269AA)

    亚型

    IgG
  • 应用备注

    Optimal working dilution should be determined by the investigator.

    限制

    仅限研究用
  • 状态

    Liquid

    缓冲液

    Preservative: 0.03 % Proclin 300
    Constituents: 50 % Glycerol, 0.01M PBS, pH 7.4

    储存液

    ProClin

    注意事项

    This product contains ProClin: a POISONOUS AND HAZARDOUS SUBSTANCE which should be handled by trained staff only.

    储存条件

    -20 °C,-80 °C

    储存方法

    Upon receipt, store at -20°C or -80°C. Avoid repeated freeze.
  • 抗原

    Dnmt2 (TRDMT1) (tRNA Aspartic Acid Methyltransferase 1 (TRDMT1))

    别名

    TRDMT1

    背景

    Background: Specifically methylates cytosine 38 in the anticodon loop of tRNA(Asp).

    Aliases: dDNMT antibody, D mMT 2 antibody, D mMT2 antibody, DNA (cytosine 5 ) methyltransferase 2 antibody, DNA (cytosine 5) methyltransferase like protein 2 antibody, DNA (cytosine-5)-methyltransferase-like protein 2 antibody, DNA 5 cytosine methyltransferase antibody, DNA methyltransferase 2 antibody, DNA methyltransferase homolog HsaIIP antibody, DNA MTase homolog HsaIIP antibody, Dnmt 2 antibody, Dnmt2 antibody, M.HsaIIP antibody, MHsaIIP antibody, nmt 2 antibody, nmt2 antibody, OTTHUMP00000045198 antibody, PuMet antibody, RNMT 1 antibody, RNMT1 antibody, TRDMT 1 antibody, TRDMT_HUMAN antibody, TRDMT1 antibody, tRNA (cytosine 5 ) methyltransferase antibody, tRNA (cytosine(38)-C(5))-methyltransferase antibody, tRNA aspartic acid methyltransferase 1 antibody, tRNA aspartic acid methyltransferase 1 variant 1 antibody, tRNA aspartic acid methyltransferase 1 variant 2 antibody, tRNA aspartic acid methyltransferase 1 variant 3 antibody, tRNA aspartic acid methyltransferase 1 variant 4 antibody, tRNA aspartic acid methyltransferase 1 variant 5 antibody, tRNA aspartic acid methyltransferase 1 variant 8 antibody

    UniProt

    O14717
You are here: