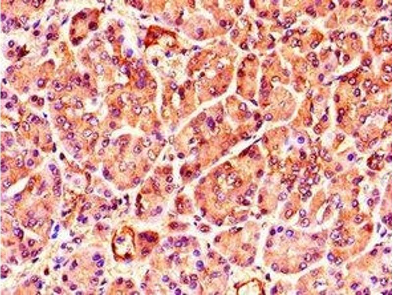
TNRC6C 抗体 (AA 157-421)
Our Local Distributor
北京 101111
Quick Overview for TNRC6C 抗体 (AA 157-421) (ABIN7173407)
抗原
See all TNRC6C 抗体适用
宿主
克隆类型
标记
应用范围
-
-
抗原表位
- AA 157-421
-
原理
- TNRC6C Antibody
-
纯化方法
- Protein G purified
-
纯度
- >95 %
-
免疫原
- Recombinant Human Trinucleotide repeat-containing gene 6C protein (157-421AA)
-
亚型
- IgG
-
-
-
-
应用备注
- Optimal working dilution should be determined by the investigator.
-
限制
- 仅限研究用
-
-
-
状态
- Liquid
-
缓冲液
-
Preservative: 0.03 % Proclin 300
Constituents: 50 % Glycerol, 0.01M PBS, PH 7.4 -
储存液
- ProClin
-
注意事项
- This product contains ProClin: a POISONOUS AND HAZARDOUS SUBSTANCE which should be handled by trained staff only.
-
储存条件
- -20 °C,-80 °C
-
储存方法
- Upon receipt, store at -20°C or -80°C. Avoid repeated freeze.
-
-
- TNRC6C (Trinucleotide Repeat Containing 6C (TNRC6C))
-
别名
- TNRC6C
-
背景
-
Background: Plays a role in RNA-mediated gene silencing by micro-RNAs (miRNAs). Required for miRNA-dependent translational repression of complementary mRNAs by argonaute family proteins. As scaffoldng protein associates with argonaute proteins bound to partially complementary mRNAs and simultaneously can recruit CCR4-NOT and PAN deadenylase complexes.
Aliases: KIAA1582 antibody, TNR6C_HUMAN antibody, TNRC 6C antibody, Tnrc6c antibody, Trinucleotide repeat containing 6C antibody, Trinucleotide repeat containing gene 6C protein antibody, Trinucleotide repeat-containing gene 6C protein antibody
-
UniProt
- Q9HCJ0
-
途径
- Fc-epsilon Receptor Signaling Pathway, Regulatory RNA Pathways, EGFR Signaling Pathway
抗原
-