电话:
+86 (0512) 65829739
传真:
+86 (010) 6788 5057
电子邮件:
orders@antibodies-online.cn

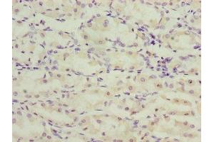
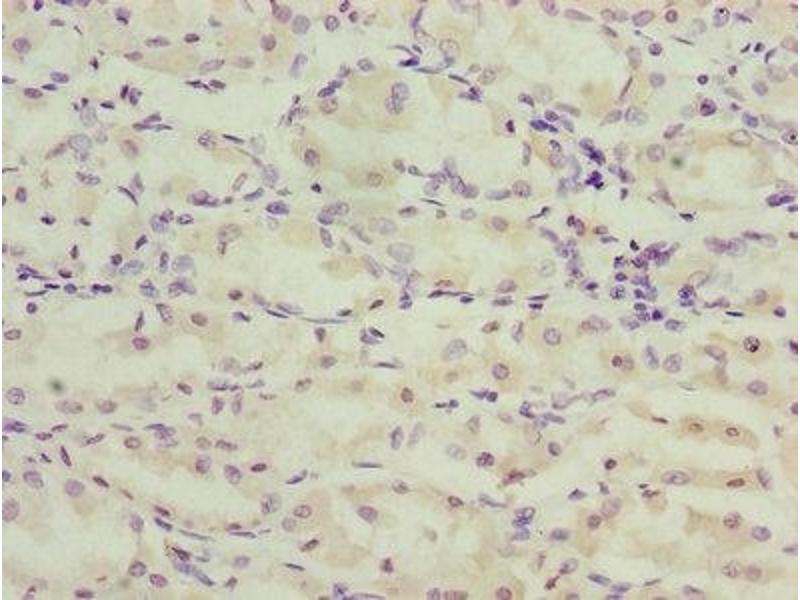
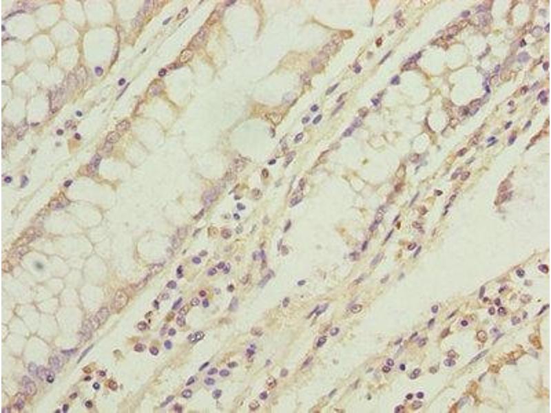
TMEM71 抗体 (AA 1-210)

This 兔 多克隆 antibody specifically detects TMEM71 in ELISA, WB 和 IHC. It exhibits reactivity toward 人.
产品编号 ABIN7173269
发货至: 中国
Contact our Customer Service for availability and price in your country. Contact Info

Our Local Distributor

中国
北京 101111
No. 88 KeChuang 6th Street
Beijing Economic Technological Development Area
Room 801-803
4A Biotech Co.,Ltd.
Tel +86 (0512) 65829739 传真 +86 (010) 6788 5057

Quick Overview for TMEM71 抗体 (AA 1-210) (ABIN7173269)

抗原

TMEM71 (Transmembrane Protein 71 (TMEM71))

适用

  • 5
  • 1

宿主

  • 5

克隆类型

  • 5
多克隆

标记

  • 2
  • 1
  • 1
  • 1
This TMEM71 antibody is un-conjugated

应用范围

ELISA, Western Blotting (WB), Immunohistochemistry (IHC)
  • 抗原表位

    • 4
    • 1
    AA 1-210

    原理

    TMEM71 Antibody

    纯化方法

    Antigen Affinity Purified

    免疫原

    Recombinant Human Transmembrane protein 71 protein (1-210AA)

    亚型

    IgG
  • 应用备注

    Optimal working dilution should be determined by the investigator.

    限制

    仅限研究用
  • 状态

    Liquid

    缓冲液

    Preservative: 0.03 % Proclin 300
    Constituents: 50 % Glycerol, 0.01M PBS, PH 7.4

    储存液

    ProClin

    注意事项

    This product contains ProClin: a POISONOUS AND HAZARDOUS SUBSTANCE which should be handled by trained staff only.

    储存条件

    -20 °C,-80 °C

    储存方法

    Upon receipt, store at -20°C or -80°C. Avoid repeated freeze.
  • 抗原

    TMEM71 (Transmembrane Protein 71 (TMEM71))

    别名

    TMEM71

    背景

    TMEM71 antibody, TMM71_HUMAN antibody, Transmembrane protein 71 antibody

    UniProt

    Q6P5X7
You are here: