电话:
+86 (0512) 65829739
传真:
+86 (010) 6788 5057
电子邮件:
orders@antibodies-online.cn

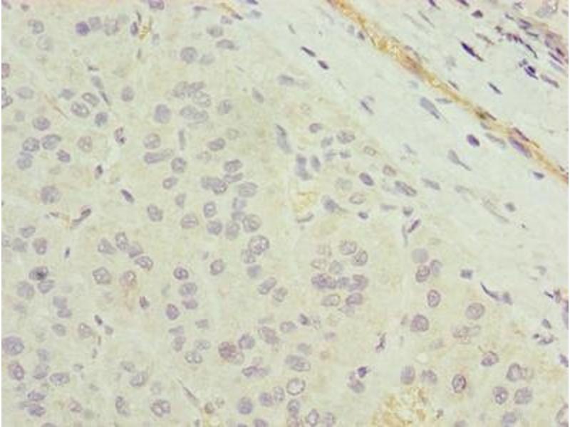
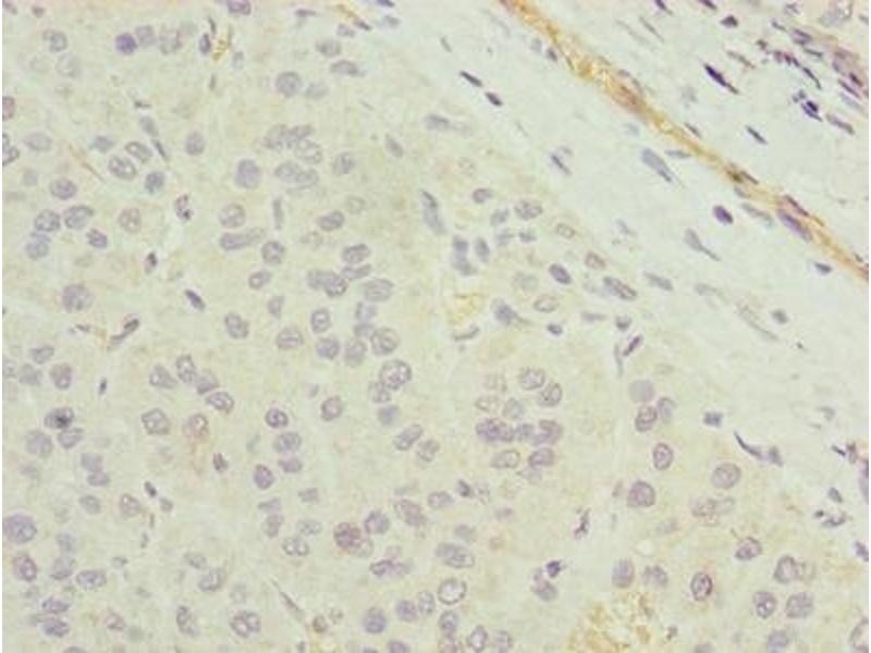
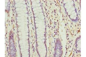
TMEM177 抗体 (AA 219-311)

The 兔 多克隆 anti-TMEM177 antibody (ABIN7173103) specifically detects TMEM177 in ELISA, WB, IHC 和 IF. The antibody is reactive with 人 samples.
产品编号 ABIN7173103
发货至: 中国
Contact our Customer Service for availability and price in your country. Contact Info

Our Local Distributor

中国
北京 101111
No. 88 KeChuang 6th Street
Beijing Economic Technological Development Area
Room 801-803
4A Biotech Co.,Ltd.
Tel +86 (0512) 65829739 传真 +86 (010) 6788 5057

Quick Overview for TMEM177 抗体 (AA 219-311) (ABIN7173103)

抗原

TMEM177 (Transmembrane Protein 177 (TMEM177))

适用

  • 15
  • 2
  • 2
  • 1
  • 1
  • 1
  • 1

宿主

  • 9
  • 7

克隆类型

  • 9
  • 7
多克隆

标记

  • 5
  • 2
  • 2
  • 1
  • 1
  • 1
  • 1
  • 1
  • 1
  • 1
This TMEM177 antibody is un-conjugated

应用范围

ELISA, Western Blotting (WB), Immunohistochemistry (IHC), Immunofluorescence (IF)
You are here: