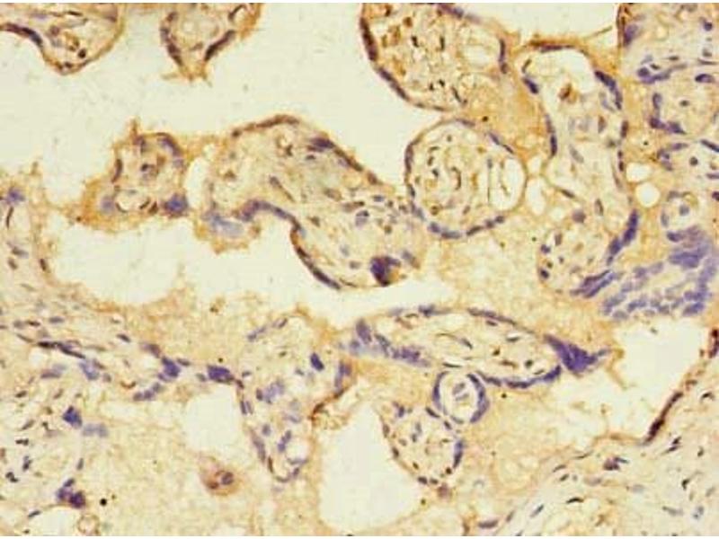
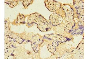
TMED3 抗体 (AA 24-180)
Our Local Distributor
北京 101111
Quick Overview for TMED3 抗体 (AA 24-180) (ABIN7172979)
抗原
See all TMED3 抗体适用
宿主
克隆类型
标记
应用范围
-
-
抗原表位
- AA 24-180
-
原理
- TMED3 Antibody
-
纯化方法
- Protein G purified
-
纯度
- >95 %
-
免疫原
- Recombinant Human Transmembrane emp24 domain-containing protein 3 protein (24-180AA)
-
亚型
- IgG
-
-
-
-
应用备注
- Optimal working dilution should be determined by the investigator.
-
限制
- 仅限研究用
-
-
-
状态
- Liquid
-
缓冲液
-
Preservative: 0.03 % Proclin 300
Constituents: 50 % Glycerol, 0.01M PBS, PH 7.4 -
储存液
- ProClin
-
注意事项
- This product contains ProClin: a POISONOUS AND HAZARDOUS SUBSTANCE which should be handled by trained staff only.
-
储存条件
- -20 °C,-80 °C
-
储存方法
- Upon receipt, store at -20°C or -80°C. Avoid repeated freeze.
-
-
- TMED3 (Transmembrane Emp24 Protein Transport Domain Containing 3 (TMED3))
-
别名
- TMED3
-
背景
-
Background: Potential role in vesicular protein trafficking, mainly in the early secretory pathway. Contributes to the coupled localization of TMED2 and TMED10 in the cis-Golgi network.
Aliases: C15orf22 antibody, Integral type I protein antibody, Membrane protein p24B antibody, p24 family protein gamma 4 antibody, p24 family protein gamma-4 antibody, P24B antibody, p24g4 antibody, p24gamma4 antibody, p26 antibody, Testis tissue sperm binding protein Li 48e antibody, Tmed3 antibody, TMED3_HUMAN antibody, Transmembrane emp24 domain containing protein 3 antibody, Transmembrane emp24 domain-containing protein 3 antibody, Transmembrane p24 trafficking protein 3 antibody, UNQ5357/PRO1078 antibody
-
UniProt
- Q9Y3Q3
抗原
-