电话:
+86 (0512) 65829739
传真:
+86 (010) 6788 5057
电子邮件:
orders@antibodies-online.cn

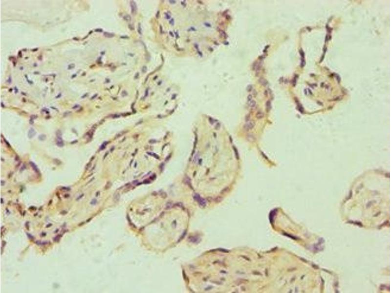
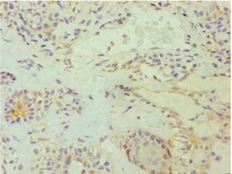
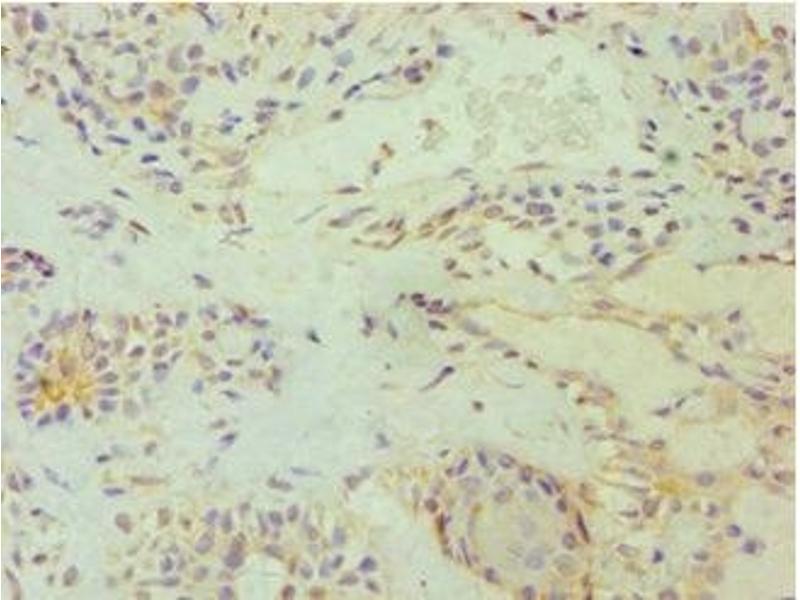
E2F6 抗体 (AA 1-281)

The 兔 多克隆 anti-E2F6 antibody is suitable to detect E2F6 in samples from 人. It has been validated for ELISA 和 IHC.
产品编号 ABIN7172529
发货至: 中国
Contact our Customer Service for availability and price in your country. Contact Info

Our Local Distributor

中国
北京 101111
No. 88 KeChuang 6th Street
Beijing Economic Technological Development Area
Room 801-803
4A Biotech Co.,Ltd.
Tel +86 (0512) 65829739 传真 +86 (010) 6788 5057

Quick Overview for E2F6 抗体 (AA 1-281) (ABIN7172529)

抗原

See all E2F6 抗体
E2F6 (E2F Transcription Factor 6 (E2F6))

适用

  • 43
  • 17
  • 12
  • 6
  • 5
  • 5
  • 5
  • 4
  • 3
  • 1
  • 1

宿主

  • 35
  • 7
  • 1

克隆类型

  • 24
  • 19
多克隆

标记

  • 34
  • 1
  • 1
  • 1
  • 1
  • 1
  • 1
  • 1
  • 1
  • 1
This E2F6 antibody is un-conjugated

应用范围

  • 41
  • 19
  • 15
  • 13
  • 11
  • 10
  • 6
  • 5
  • 3
  • 1
  • 1
  • 1
  • 1
  • 1
  • 1
ELISA, Immunohistochemistry (IHC)
  • 抗原表位

    • 4
    • 3
    • 2
    • 2
    • 2
    • 1
    • 1
    • 1
    • 1
    • 1
    • 1
    • 1
    • 1
    AA 1-281

    原理

    E2F6 Antibody

    纯化方法

    Antigen Affinity Purified

    免疫原

    Recombinant Human Transcription factor E2F6 protein (1-281AA)

    亚型

    IgG
  • 应用备注

    Optimal working dilution should be determined by the investigator.

    限制

    仅限研究用
  • 状态

    Liquid

    缓冲液

    PBS with 0.02 % sodium azide, 50 % glycerol, pH 7.3.

    储存液

    Sodium azide

    注意事项

    This product contains Sodium azide: a POISONOUS AND HAZARDOUS SUBSTANCE which should be handled by trained staff only.

    储存条件

    -20 °C,-80 °C

    储存方法

    Upon receipt, store at -20°C or -80°C. Avoid repeated freeze.
  • 抗原

    E2F6 (E2F Transcription Factor 6 (E2F6))

    别名

    E2F6

    背景

    Background: Inhibitor of E2F-dependent transcription. Binds DNA cooperatively with DP proteins through the E2 recognition site, 5\\\'-TTTC[CG]CGC-3\\\'. Has a preference for the 5\\\'-TTTCCCGC-3\\\' E2F recognition site. E2F6 lacks the transcriptional activation and pocket protein binding domains. Appears to regulate a subset of E2F-dependent genes whose products are required for entry into the cell cycle but not for normal cell cycle progression. May silence expression via the recruitment of a chromatin remodeling complex containing histone H3-K9 methyltransferase activity. Overexpression delays the exit of cells from the S-phase.

    Aliases: E2F 6 antibody, E2F binding site modulating activity protein antibody, E2F transcription factor 6 antibody, E2F transcription factor 6 isoform 1 antibody, E2F-6 antibody, E2F6 antibody, E2F6_HUMAN antibody, EMA antibody, MGC111545 antibody, Transcription factor E2F6 antibody

    UniProt

    O75461
You are here: