电话:
+86 (0512) 65829739
传真:
+86 (010) 6788 5057
电子邮件:
orders@antibodies-online.cn

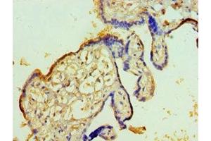
TFPI2 抗体 (AA 23-235)

This 兔 多克隆 antibody specifically detects TFPI2 in IHC 和 ELISA. It exhibits reactivity toward 人.
产品编号 ABIN7172210
发货至: 中国
Contact our Customer Service for availability and price in your country. Contact Info

Our Local Distributor

中国
北京 101111
No. 88 KeChuang 6th Street
Beijing Economic Technological Development Area
Room 801-803
4A Biotech Co.,Ltd.
Tel +86 (0512) 65829739 传真 +86 (010) 6788 5057

Quick Overview for TFPI2 抗体 (AA 23-235) (ABIN7172210)

抗原

See all TFPI2 抗体
TFPI2 (Tissue Factor Pathway Inhibitor 2 (TFPI2))

适用

  • 56
  • 20
  • 11
  • 4
  • 2
  • 2
  • 2
  • 1

宿主

  • 53
  • 9
  • 2
  • 1

克隆类型

  • 56
  • 9
多克隆

标记

  • 37
  • 2
  • 2
  • 2
  • 2
  • 2
  • 1
  • 1
  • 1
  • 1
  • 1
  • 1
  • 1
  • 1
  • 1
  • 1
  • 1
  • 1
  • 1
  • 1
  • 1
  • 1
  • 1
  • 1
This TFPI2 antibody is un-conjugated

应用范围

  • 35
  • 18
  • 17
  • 15
  • 13
  • 13
  • 8
  • 7
  • 4
  • 2
  • 1
  • 1
Immunohistochemistry (IHC), ELISA
  • 抗原表位

    • 15
    • 10
    • 5
    • 3
    • 3
    • 2
    • 2
    • 2
    • 2
    • 1
    • 1
    • 1
    • 1
    • 1
    • 1
    • 1
    • 1
    • 1
    AA 23-235

    原理

    TFPI2 Antibody

    纯化方法

    Antigen Affinity Purified

    免疫原

    Recombinant Human Tissue factor pathway inhibitor 2 protein (23-235AA)

    亚型

    IgG
  • 应用备注

    Optimal working dilution should be determined by the investigator.

    限制

    仅限研究用
  • 状态

    Liquid

    缓冲液

    PBS with 0.02 % sodium azide, 50 % glycerol, pH 7.3.

    储存液

    Sodium azide

    注意事项

    This product contains Sodium azide: a POISONOUS AND HAZARDOUS SUBSTANCE which should be handled by trained staff only.

    储存条件

    -20 °C,-80 °C

    储存方法

    Upon receipt, store at -20°C or -80°C. Avoid repeated freeze.
  • 抗原

    TFPI2 (Tissue Factor Pathway Inhibitor 2 (TFPI2))

    别名

    TFPI2

    背景

    Background: May play a role in the regulation of plasmin-mediated matrix remodeling. Inhibits trypsin, plasmin, factor VIIa/tissue factor and weakly factor Xa. Has no effect on thrombin.

    Aliases: Placental protein 5 antibody, PP5 antibody, REF1 antibody, Retinal pigment epithelium cell factor 1 antibody, TFPI 2 antibody, TFPI-2 antibody, TFPI2 antibody, TFPI2 PEN antibody, TFPI2_HUMAN antibody, Tissue factor pathway inhibitor 2 antibody

    UniProt

    P48307
You are here: