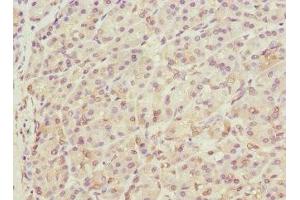
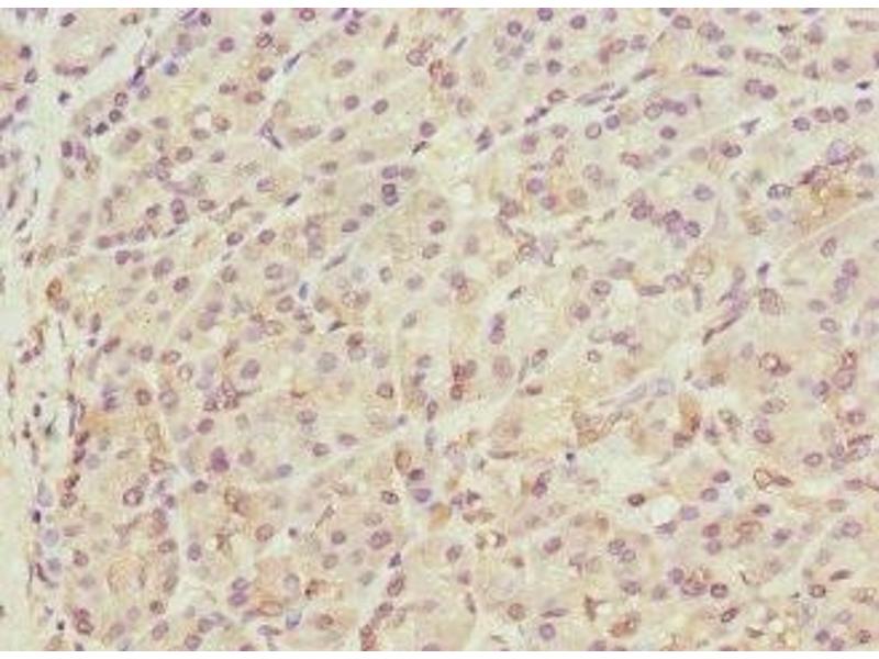
THADA 抗体 (AA 1684-1953)
Our Local Distributor
北京 101111
Quick Overview for THADA 抗体 (AA 1684-1953) (ABIN7172143)
抗原
适用
宿主
克隆类型
标记
应用范围
-
-
抗原表位
- AA 1684-1953
-
原理
- THADA Antibody
-
纯化方法
- Antigen Affinity Purified
-
免疫原
- Recombinant Human Thyroid adenoma-associated protein (1684-1953AA)
-
亚型
- IgG
-
-
-
-
应用备注
- Optimal working dilution should be determined by the investigator.
-
限制
- 仅限研究用
-
-
-
状态
- Liquid
-
缓冲液
- PBS with 0.02 % sodium azide, 50 % glycerol, pH 7.3.
-
储存液
- Sodium azide
-
注意事项
- This product contains Sodium azide: a POISONOUS AND HAZARDOUS SUBSTANCE which should be handled by trained staff only.
-
储存条件
- -20 °C,-80 °C
-
储存方法
- Upon receipt, store at -20°C or -80°C. Avoid repeated freeze.
-
-
- THADA (Thyroid adenoma-associated protein (THADA))
-
别名
- THADA
-
背景
- THADA antibody, GITA antibody, KIAA1767 antibody, Thyroid adenoma-associated protein antibody, Gene inducing thyroid adenomas protein antibody
-
UniProt
- Q6YHU6
抗原
-