电话:
+86 (0512) 65829739
传真:
+86 (010) 6788 5057
电子邮件:
orders@antibodies-online.cn

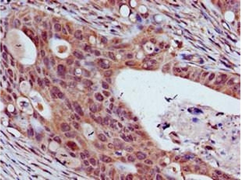
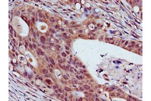
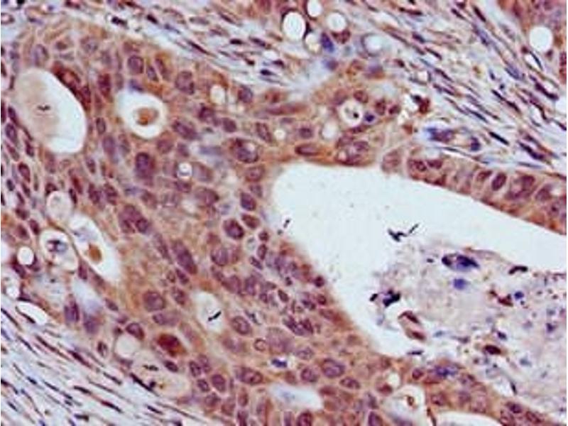
THO Complex 3 抗体 (AA 2-351)

This 兔 多克隆 antibody specifically detects THO Complex 3 in ELISA 和 IHC. It exhibits reactivity toward 人.
产品编号 ABIN7172051
发货至: 中国
Contact our Customer Service for availability and price in your country. Contact Info

Our Local Distributor

中国
北京 101111
No. 88 KeChuang 6th Street
Beijing Economic Technological Development Area
Room 801-803
4A Biotech Co.,Ltd.
Tel +86 (0512) 65829739 传真 +86 (010) 6788 5057

Quick Overview for THO Complex 3 抗体 (AA 2-351) (ABIN7172051)

抗原

See all THO Complex 3 (THOC3) 抗体
THO Complex 3 (THOC3)

适用

  • 25
  • 8
  • 5
  • 5
  • 3
  • 3
  • 3
  • 3
  • 3
  • 2
  • 2
  • 2

宿主

  • 22
  • 3

克隆类型

  • 23
  • 2
多克隆

标记

  • 16
  • 3
  • 2
  • 2
  • 1
  • 1
This THO Complex 3 antibody is un-conjugated

应用范围

  • 20
  • 14
  • 5
  • 1
  • 1
  • 1
ELISA, Immunohistochemistry (IHC)
  • 抗原表位

    • 8
    • 4
    • 2
    • 2
    • 1
    • 1
    • 1
    • 1
    • 1
    • 1
    • 1
    • 1
    AA 2-351

    原理

    THOC3 Antibody

    纯化方法

    Protein G purified

    纯度

    >95 %

    免疫原

    Recombinant Human THO complex subunit 3 protein (2-351AA)

    亚型

    IgG
  • 应用备注

    Optimal working dilution should be determined by the investigator.

    限制

    仅限研究用
  • 状态

    Liquid

    缓冲液

    Preservative: 0.03 % Proclin 300
    Constituents: 50 % Glycerol, 0.01M PBS, PH 7.4

    储存液

    ProClin

    注意事项

    This product contains ProClin: a POISONOUS AND HAZARDOUS SUBSTANCE which should be handled by trained staff only.

    储存条件

    -20 °C,-80 °C

    储存方法

    Upon receipt, store at -20°C or -80°C. Avoid repeated freeze.
  • 抗原

    THO Complex 3 (THOC3)

    别名

    THOC3

    背景

    Background: Required for efficient export of polyadenylated RNA and spliced mRNA. Acts as component of the THO subcomplex of the TREX complex which is thought to couple mRNA transcription, processing and nuclear export, and which specifically associates with spliced mRNA and not with unspliced pre-mRNA. TREX is recruited to spliced mRNAs by a transcription-independent mechanism, binds to mRNA upstream of the exon-junction complex (EJC) and is recruited in a splicing- and cap-dependent manner to a region near the 5\' end of the mRNA where it functions in mRNA export to the cytoplasm via the TAP/NFX1 pathway. The TREX complex is essential for the export of Kaposi\'s sarcoma-associated herpesvirus (KSHV) intronless mRNAs and infectious virus production.

    Aliases: hTREX45 antibody, TEX1 homolog antibody, THO complex subunit 3 antibody, Tho3 antibody, THOC3 antibody, THOC3_HUMAN antibody

    UniProt

    Q96J01
You are here: