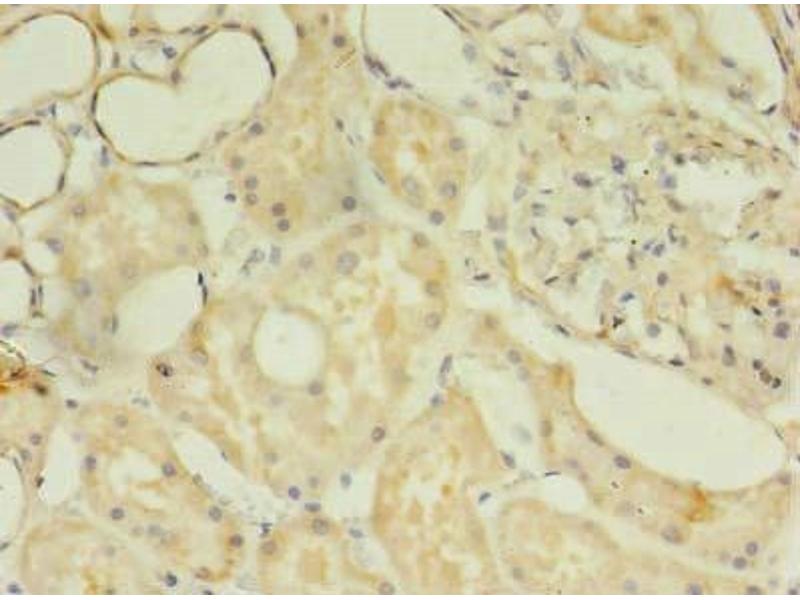
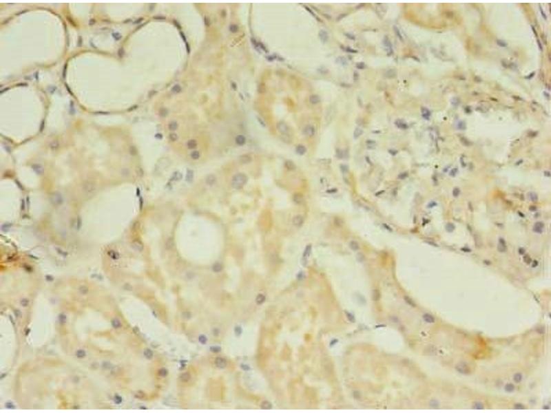
TSGA13 抗体 (AA 1-275)
Our Local Distributor
北京 101111
Quick Overview for TSGA13 抗体 (AA 1-275) (ABIN7171830)
抗原
适用
宿主
克隆类型
标记
应用范围
-
-
抗原表位
- AA 1-275
-
原理
- TSGA13 Antibody
-
纯化方法
- Protein G purified
-
纯度
- >95 %
-
免疫原
- Recombinant Human Testis-specific gene 13 protein (1-275AA)
-
亚型
- IgG
-
-
-
-
应用备注
- Optimal working dilution should be determined by the investigator.
-
限制
- 仅限研究用
-
-
-
状态
- Liquid
-
缓冲液
-
Preservative: 0.03 % Proclin 300
Constituents: 50 % Glycerol, 0.01M PBS, PH 7.4 -
储存液
- ProClin
-
注意事项
- This product contains ProClin: a POISONOUS AND HAZARDOUS SUBSTANCE which should be handled by trained staff only.
-
储存条件
- -20 °C,-80 °C
-
储存方法
- Upon receipt, store at -20°C or -80°C. Avoid repeated freeze.
-
-
- TSGA13 (Testis Specific, 13 (TSGA13))
-
别名
- TSGA13
-
背景
-
Background: positive regulation of protein targeting to mitochondrion
Aliases: TSGA13 antibody, Testis-specific gene 13 protein antibody
-
UniProt
- Q96PP4
抗原
-