电话:
+86 (0512) 65829739
传真:
+86 (010) 6788 5057
电子邮件:
orders@antibodies-online.cn

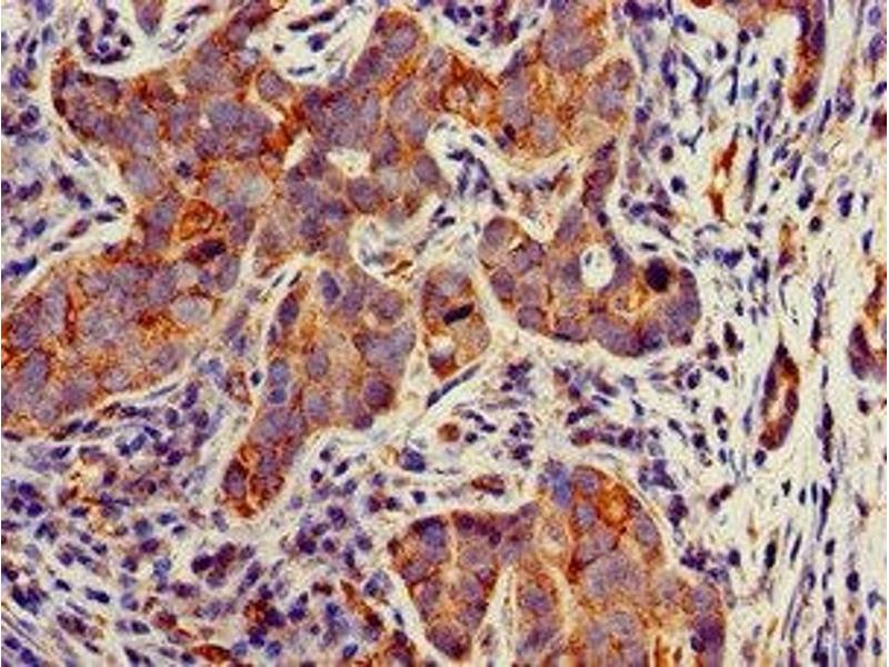
TECPR2 抗体 (AA 516-783)

The 兔 多克隆 anti-TECPR2 antibody (ABIN7171684) specifically detects TECPR2 in ELISA, IHC 和 IF. The antibody is reactive with 人 samples.
产品编号 ABIN7171684
发货至: 中国
Contact our Customer Service for availability and price in your country. Contact Info

Our Local Distributor

中国
北京 101111
No. 88 KeChuang 6th Street
Beijing Economic Technological Development Area
Room 801-803
4A Biotech Co.,Ltd.
Tel +86 (0512) 65829739 传真 +86 (010) 6788 5057

Quick Overview for TECPR2 抗体 (AA 516-783) (ABIN7171684)

抗原

TECPR2 (Tectonin beta-Propeller Repeat Containing 2 (TECPR2))

适用

宿主

  • 5

克隆类型

  • 5
多克隆

标记

  • 2
  • 1
  • 1
  • 1
This TECPR2 antibody is un-conjugated

应用范围

ELISA, Immunohistochemistry (IHC), Immunofluorescence (IF)
  • 抗原表位

    • 4
    • 1
    AA 516-783

    原理

    TECPR2 Antibody

    纯化方法

    Protein G purified

    纯度

    >95 %

    免疫原

    Recombinant Human Tectonin beta-propeller repeat-containing protein 2 protein (516-783AA)

    亚型

    IgG
  • 应用备注

    Optimal working dilution should be determined by the investigator.

    限制

    仅限研究用
  • 状态

    Liquid

    缓冲液

    Preservative: 0.03 % Proclin 300
    Constituents: 50 % Glycerol, 0.01M PBS, PH 7.4

    储存液

    ProClin

    注意事项

    This product contains ProClin: a POISONOUS AND HAZARDOUS SUBSTANCE which should be handled by trained staff only.

    储存条件

    -20 °C,-80 °C

    储存方法

    Upon receipt, store at -20°C or -80°C. Avoid repeated freeze.
  • 抗原

    TECPR2 (Tectonin beta-Propeller Repeat Containing 2 (TECPR2))

    别名

    TECPR2

    背景

    Background: Probably plays a role as positive regulator of autophagy.

    Aliases: TECPR2 antibody, KIAA0297 antibody, KIAA0329 antibody, Tectonin beta-propeller repeat-containing protein 2 antibody, WD repeat-containing protein KIAA0329/KIAA0297 antibody

    UniProt

    O15040
You are here: