电话:
+86 (0512) 65829739
传真:
+86 (010) 6788 5057
电子邮件:
orders@antibodies-online.cn

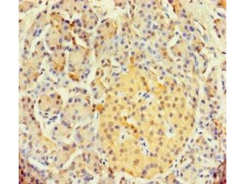
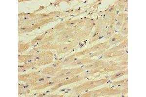
SYCN 抗体 (AA 22-134)

This 兔 多克隆 antibody specifically detects SYCN in ELISA 和 IHC. It exhibits reactivity toward 人.
产品编号 ABIN7171175
发货至: 中国
Contact our Customer Service for availability and price in your country. Contact Info

Our Local Distributor

中国
北京 101111
No. 88 KeChuang 6th Street
Beijing Economic Technological Development Area
Room 801-803
4A Biotech Co.,Ltd.
Tel +86 (0512) 65829739 传真 +86 (010) 6788 5057

Quick Overview for SYCN 抗体 (AA 22-134) (ABIN7171175)

抗原

See all SYCN 抗体
SYCN (Syncollin (SYCN))

适用

  • 12
  • 3
  • 3
  • 2
  • 1
  • 1
  • 1

宿主

  • 11
  • 2

克隆类型

  • 11
  • 2
多克隆

标记

  • 9
  • 2
  • 1
  • 1
This SYCN antibody is un-conjugated

应用范围

  • 9
  • 4
  • 3
  • 3
  • 3
  • 1
  • 1
  • 1
ELISA, Immunohistochemistry (IHC)
  • 抗原表位

    • 5
    • 2
    • 2
    • 1
    • 1
    AA 22-134

    原理

    SYCN Antibody

    纯化方法

    Protein G purified

    纯度

    >95 %

    免疫原

    Recombinant Human Syncollin protein (22-134AA)

    亚型

    IgG
  • 应用备注

    Optimal working dilution should be determined by the investigator.

    限制

    仅限研究用
  • 状态

    Liquid

    缓冲液

    Preservative: 0.03 % Proclin 300
    Constituents: 50 % Glycerol, 0.01M PBS, PH 7.4

    储存液

    ProClin

    注意事项

    This product contains ProClin: a POISONOUS AND HAZARDOUS SUBSTANCE which should be handled by trained staff only.

    储存条件

    -20 °C,-80 °C

    储存方法

    Upon receipt, store at -20°C or -80°C. Avoid repeated freeze.
  • 抗原

    SYCN (Syncollin (SYCN))

    别名

    SYCN

    背景

    Background: Functions in exocytosis in pancreatic acinar cells regulating the fusion of zymogen granules with each other. May have a pore-forming activity on membranes and regulate exocytosis in other exocrine tissues.

    Aliases: 0910001K16Rik antibody, 1810038B08Rik antibody, FLJ27441 antibody, INSSA1 antibody, Insulin synthesis associated protein 1 antibody, Insulin synthesis-associated protein 1 antibody, Sycn antibody, SYCN_HUMAN antibody, SYL antibody, Syncollin antibody

    UniProt

    Q0VAF6
You are here: