电话:
+86 (0512) 65829739
传真:
+86 (010) 6788 5057
电子邮件:
orders@antibodies-online.cn

SOCS6 抗体 (AA 1-210)

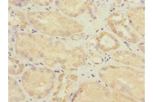
The 兔 多克隆 anti-SOCS6 antibody is suitable to detect SOCS6 in samples from 人. It has been validated for IHC, ELISA 和 IF.
产品编号 ABIN7171008
发货至: 中国
Contact our Customer Service for availability and price in your country. Contact Info

Our Local Distributor

中国
北京 101111
No. 88 KeChuang 6th Street
Beijing Economic Technological Development Area
Room 801-803
4A Biotech Co.,Ltd.
Tel +86 (0512) 65829739 传真 +86 (010) 6788 5057

Quick Overview for SOCS6 抗体 (AA 1-210) (ABIN7171008)

抗原

See all SOCS6 抗体
SOCS6 (Suppressor of Cytokine Signaling 6 (SOCS6))

适用

  • 28
  • 26
  • 15
  • 1

宿主

  • 40
  • 3

克隆类型

  • 42
  • 1
多克隆

标记

  • 17
  • 3
  • 2
  • 2
  • 1
  • 1
  • 1
  • 1
  • 1
  • 1
  • 1
  • 1
  • 1
  • 1
  • 1
  • 1
  • 1
  • 1
  • 1
  • 1
  • 1
  • 1
  • 1
This SOCS6 antibody is un-conjugated

应用范围

  • 34
  • 14
  • 14
  • 13
  • 13
  • 4
  • 3
  • 1
  • 1
Immunohistochemistry (IHC), ELISA, Immunofluorescence (IF)
  • 抗原表位

    • 15
    • 9
    • 4
    • 3
    • 2
    • 1
    • 1
    AA 1-210

    原理

    SOCS6 Antibody

    纯化方法

    Antigen Affinity Purified

    免疫原

    Recombinant Human Suppressor of cytokine signaling 6 protein (1-210AA)

    亚型

    IgG
  • 应用备注

    Optimal working dilution should be determined by the investigator.

    限制

    仅限研究用
  • 状态

    Liquid

    缓冲液

    PBS with 0.02 % sodium azide, 50 % glycerol, pH 7.3.

    储存液

    Sodium azide

    注意事项

    This product contains Sodium azide: a POISONOUS AND HAZARDOUS SUBSTANCE which should be handled by trained staff only.

    储存条件

    -20 °C,-80 °C

    储存方法

    Upon receipt, store at -20°C or -80°C. Avoid repeated freeze.
  • 抗原

    SOCS6 (Suppressor of Cytokine Signaling 6 (SOCS6))

    别名

    SOCS6

    背景

    Background: SOCS family proteins form part of a classical negative feedback system that regulates cytokine signal transduction. May be a substrate recognition component of a SCF-like ECS (Elongin BC-CUL2/5-SOCS-box protein) E3 ubiquitin-protein ligase complex which mediates the ubiquitination and subsequent proteasomal degradation of target proteins (By similarity). Regulates KIT degradation by ubiquitination of the tyrosine-phosphorylated receptor.

    Aliases: CIS-4 antibody, CIS4 antibody, Cish4 antibody, Cytokine inducible SH2 protein 4 antibody, Cytokine-inducible SH2 protein 4 antibody, HSPC060 antibody, SOCS-4 antibody, SOCS-6 antibody, SOCS4 antibody, Socs6 antibody, SOCS6_HUMAN antibody, SSI4 antibody, STAI4 antibody, STAT induced STAT inhibitor 4 antibody, STAT4 antibody, STATI4 antibody, Suppressor of cytokine signaling 4 antibody, Suppressor of cytokine signaling 6 antibody

    UniProt

    O14544

    途径

    JAK/STAT Signaling, Carbohydrate Homeostasis
You are here: