电话:
+86 (0512) 65829739
传真:
+86 (010) 6788 5057
电子邮件:
orders@antibodies-online.cn

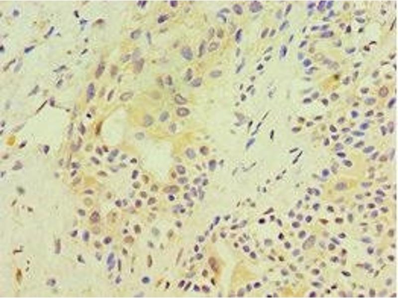
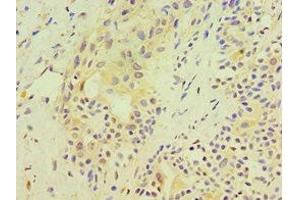
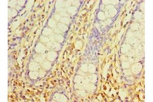
Spermidine Synthase 抗体 (AA 1-302)

The 兔 多克隆 anti-Spermidine Synthase antibody is suitable to detect Spermidine Synthase in samples from 人. It has been validated for WB, ELISA 和 IHC.
产品编号 ABIN7170540
发货至: 中国
Contact our Customer Service for availability and price in your country. Contact Info

Our Local Distributor

中国
北京 101111
No. 88 KeChuang 6th Street
Beijing Economic Technological Development Area
Room 801-803
4A Biotech Co.,Ltd.
Tel +86 (0512) 65829739 传真 +86 (010) 6788 5057

Quick Overview for Spermidine Synthase 抗体 (AA 1-302) (ABIN7170540)

抗原

See all Spermidine Synthase (SRM) 抗体
Spermidine Synthase (SRM)

适用

  • 32
  • 5
  • 3

宿主

  • 30
  • 2

克隆类型

  • 30
  • 2
多克隆

标记

  • 14
  • 4
  • 3
  • 3
  • 1
  • 1
  • 1
  • 1
  • 1
  • 1
  • 1
  • 1
This Spermidine Synthase antibody is un-conjugated

应用范围

  • 20
  • 20
  • 7
  • 2
  • 2
  • 1
  • 1
Western Blotting (WB), ELISA, Immunohistochemistry (IHC)
  • 抗原表位

    • 5
    • 4
    • 1
    • 1
    • 1
    • 1
    • 1
    • 1
    • 1
    • 1
    AA 1-302

    原理

    SRM Antibody

    纯化方法

    Antigen Affinity Purified

    免疫原

    Recombinant Human Spermidine synthase protein (1-302AA)

    亚型

    IgG
  • 应用备注

    Optimal working dilution should be determined by the investigator.

    限制

    仅限研究用
  • 状态

    Liquid

    缓冲液

    PBS with 0.02 % sodium azide, 50 % glycerol, pH 7.3.

    储存液

    Sodium azide

    注意事项

    This product contains Sodium azide: a POISONOUS AND HAZARDOUS SUBSTANCE which should be handled by trained staff only.

    储存条件

    -20 °C,-80 °C

    储存方法

    Upon receipt, store at -20°C or -80°C. Avoid repeated freeze.
  • 抗原

    Spermidine Synthase (SRM)

    别名

    SRM

    背景

    Background: Catalyzes the production of spermidine from putrescine and decarboxylated S-adenosylmethionine (dcSAM). Has a strong preference for putrescine as substrate, and has very low activity towards 1,3-diaminopropane. Has extremely low activity towards spermidine.

    Aliases: OTTHUMP00000002170 antibody, PAPT antibody, Putrescine aminopropyltransferase antibody, SPDSY antibody, SPEE_HUMAN antibody, Spermidine synthase 1 antibody, Spermidine synthase antibody, SPS1 antibody, Srm antibody, SRML1 antibody

    UniProt

    P19623
You are here: