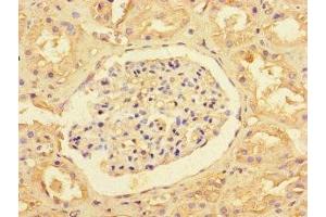
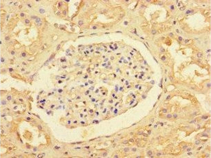
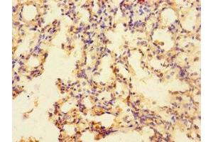
SLC35F6 抗体 (AA 337-371)
Our Local Distributor
北京 101111
Quick Overview for SLC35F6 抗体 (AA 337-371) (ABIN7170239)
抗原
适用
宿主
克隆类型
标记
应用范围
-
-
抗原表位
- AA 337-371
-
原理
- SLC35F6 Antibody
-
纯化方法
- Protein G purified
-
纯度
- >95 %
-
免疫原
- Recombinant Human Solute carrier family 35 member F6 protein (337-371AA)
-
亚型
- IgG
-
-
-
-
应用备注
- Optimal working dilution should be determined by the investigator.
-
限制
- 仅限研究用
-
-
-
状态
- Liquid
-
缓冲液
-
Preservative: 0.03 % Proclin 300
Constituents: 50 % Glycerol, 0.01M PBS, PH 7.4 -
储存液
- ProClin
-
注意事项
- This product contains ProClin: a POISONOUS AND HAZARDOUS SUBSTANCE which should be handled by trained staff only.
-
储存条件
- -20 °C,-80 °C
-
储存方法
- Upon receipt, store at -20°C or -80°C. Avoid repeated freeze.
-
-
- SLC35F6 (Solute Carrier Family 35 Member F6 (SLC35F6))
-
别名
- SLC35F6
-
背景
-
Background: Involved in the maintenance of mitochondrial membrane potential in pancreatic ductal adenocarcinoma (PDAC) cells. Promotes pancreatic ductal adenocarcinoma (PDAC) cell growth. May play a role as a nucleotide-sugar transporter.
Aliases: SLC35F6 antibody, C2orf18 antibody, UNQ3047/PRO9863 antibody, Solute carrier family 35 member F6 antibody, ANT2-binding protein antibody, ANT2BP antibody, Transport and Golgi organization 9 homolog antibody
-
UniProt
- Q8N357
抗原
-