电话:
+86 (0512) 65829739
传真:
+86 (010) 6788 5057
电子邮件:
orders@antibodies-online.cn

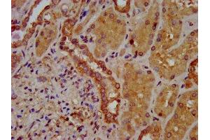
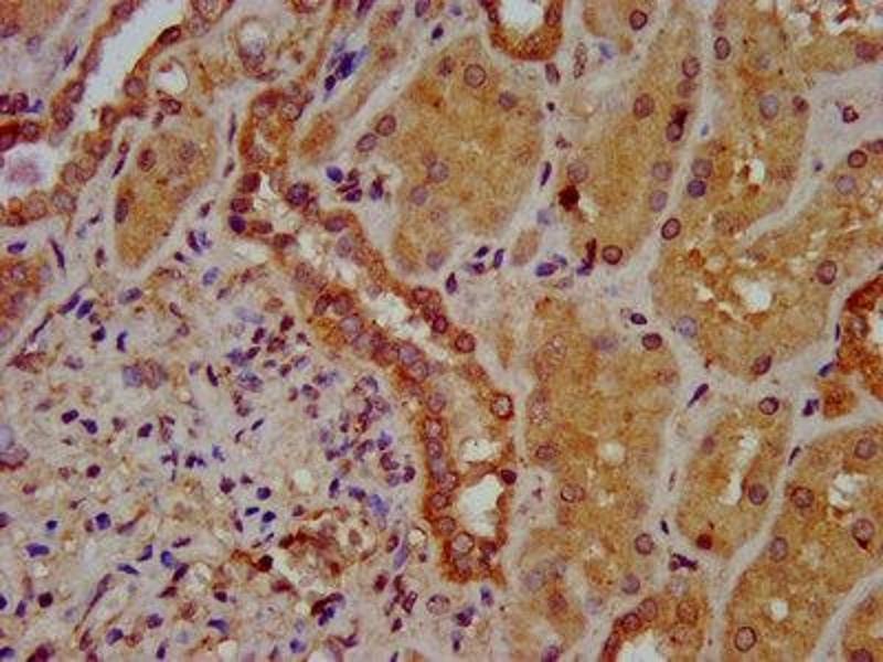
SLC26A6 抗体 (AA 554-668)

The 兔 多克隆 anti-SLC26A6 antibody (ABIN7170211) specifically detects SLC26A6 in ELISA, IHC 和 IF. The antibody is reactive with 人 samples.
产品编号 ABIN7170211
发货至: 中国
Contact our Customer Service for availability and price in your country. Contact Info

Our Local Distributor

中国
北京 101111
No. 88 KeChuang 6th Street
Beijing Economic Technological Development Area
Room 801-803
4A Biotech Co.,Ltd.
Tel +86 (0512) 65829739 传真 +86 (010) 6788 5057

Quick Overview for SLC26A6 抗体 (AA 554-668) (ABIN7170211)

抗原

See all SLC26A6 抗体
SLC26A6 (Solute Carrier Family 26, Member 6 (SLC26A6))

适用

  • 20
  • 15
  • 15
  • 2
  • 1

宿主

  • 30
  • 3
  • 2

克隆类型

  • 35
多克隆

标记

  • 11
  • 3
  • 2
  • 2
  • 1
  • 1
  • 1
  • 1
  • 1
  • 1
  • 1
  • 1
  • 1
  • 1
  • 1
  • 1
  • 1
  • 1
  • 1
  • 1
  • 1
This SLC26A6 antibody is un-conjugated

应用范围

  • 25
  • 13
  • 13
  • 9
  • 3
  • 3
  • 1
  • 1
  • 1
ELISA, Immunohistochemistry (IHC), Immunofluorescence (IF)
  • 抗原表位

    • 15
    • 4
    • 4
    • 2
    • 1
    • 1
    • 1
    AA 554-668

    原理

    SLC26A6 Antibody

    纯化方法

    Protein G purified

    纯度

    >95 %

    免疫原

    Recombinant Human Solute carrier family 26 member 6 protein (554-668AA)

    亚型

    IgG
  • 应用备注

    Optimal working dilution should be determined by the investigator.

    限制

    仅限研究用
  • 状态

    Liquid

    缓冲液

    Preservative: 0.03 % Proclin 300
    Constituents: 50 % Glycerol, 0.01M PBS, pH 7.4

    储存液

    ProClin

    注意事项

    This product contains ProClin: a POISONOUS AND HAZARDOUS SUBSTANCE which should be handled by trained staff only.

    储存条件

    -20 °C,-80 °C

    储存方法

    Upon receipt, store at -20°C or -80°C. Avoid repeated freeze.
  • 抗原

    SLC26A6 (Solute Carrier Family 26, Member 6 (SLC26A6))

    别名

    SLC26A6

    背景

    Background: Apical membrane anion-exchanger with wide epithelial distribution that plays a role as a component of the pH buffering system for maintaining acid-base homeostasis. Acts as a versatile DIDS-sensitive inorganic and organic anion transporter that mediates the uptake of monovalent anions like chloride, bicarbonate, formate and hydroxyl ion and divalent anions like sulfate and oxalate. Function in multiple exchange modes involving pairs of these anions, which include chloride-bicarbonate, chloride-oxalate, oxalate-formate, oxalate-sulfate and chloride-formate exchange. Apical membrane chloride-bicarbonate exchanger that mediates luminal chloride absorption and bicarbonate secretion by the small intestinal brush border membrane and contributes to intracellular pH regulation in the duodenal upper villous epithelium during proton-coupled peptide absorption, possibly by providing a bicarbonate import pathway. Mediates also intestinal chloride absorption and oxalate secretion, thereby preventing hyperoxaluria and calcium oxalate urolithiasis. Transepithelial oxalate secretion, chloride-formate, chloride-oxalate and chloride-bicarbonate transport activities in the duodenum are inhibited by PKC activation in a calcium-independent manner. The apical membrane chloride-bicarbonate exchanger provides also a major route for fluid and bicarbonate secretion into the proximal tubules of the kidney as well as into the proximal part of the interlobular pancreatic ductal tree, where it mediates electrogenic chloride-bicarbonate exchange with a chloride-bicarbonate stoichiometry of 1:2, and hence will dilute and alkalinize protein-rich acinar secretion. Mediates also the transcellular sulfate absorption and oxalate secretion across the apical membrane in the duodenum and the formate ion efflux at the apical brush border of cells in the proximal tubules of kidney. Plays a role in sperm capacitation by increasing intracellular pH .

    Aliases: Anion exchange transporter antibody, Anion transporter 1 antibody, DKFZp586E1422 antibody, Pendrin L1 antibody, Pendrin like protein 1 antibody, Pendrin-L1 antibody, Pendrin-like protein 1 antibody, S26A6_HUMAN antibody, SLC26A6 antibody, Solute carrier family 26 member 6 antibody, Sulfate anion transporter antibody

    UniProt

    Q9BXS9

    途径

    Dicarboxylic Acid Transport
You are here: