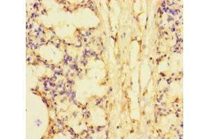
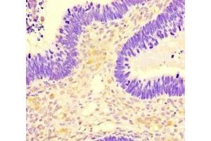
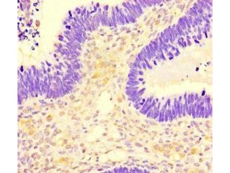
SMCO1 抗体 (AA 82-214)
Our Local Distributor
北京 101111
Quick Overview for SMCO1 抗体 (AA 82-214) (ABIN7169732)
抗原
适用
宿主
克隆类型
标记
应用范围
-
-
抗原表位
- AA 82-214
-
原理
- SMCO1 Antibody
-
纯化方法
- Protein G purified
-
纯度
- >95 %
-
免疫原
- Recombinant Human Single-pass membrane and coiled-coil domain-containing protein 1 protein (82-214AA)
-
亚型
- IgG
-
-
-
-
应用备注
- Optimal working dilution should be determined by the investigator.
-
限制
- 仅限研究用
-
-
-
状态
- Liquid
-
缓冲液
-
Preservative: 0.03 % Proclin 300
Constituents: 50 % Glycerol, 0.01M PBS, PH 7.4 -
储存液
- ProClin
-
注意事项
- This product contains ProClin: a POISONOUS AND HAZARDOUS SUBSTANCE which should be handled by trained staff only.
-
储存条件
- -20 °C,-80 °C
-
储存方法
- Upon receipt, store at -20°C or -80°C. Avoid repeated freeze.
-
-
- SMCO1 (Single-Pass Membrane Protein with Coiled-Coil Domains 1 (SMCO1))
-
别名
- SMCO1
-
背景
- SMCO1 antibody, C3orf43 antibody, Single-pass membrane and coiled-coil domain-containing protein 1 antibody, Single-pass membrane protein with coiled-coil domains 1 antibody
-
UniProt
- Q147U7
抗原
-