电话:
+86 (0512) 65829739
传真:
+86 (010) 6788 5057
电子邮件:
orders@antibodies-online.cn

SPPL3 抗体 (AA 213-263)

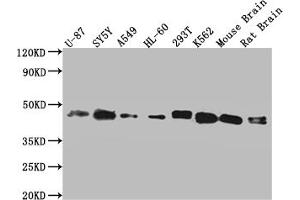
The 兔 多克隆 anti-SPPL3 antibody is suitable to detect SPPL3 in samples from 人. It has been validated for ELISA 和 WB.
产品编号 ABIN7169631
发货至: 中国
Contact our Customer Service for availability and price in your country. Contact Info

Our Local Distributor

中国
北京 101111
No. 88 KeChuang 6th Street
Beijing Economic Technological Development Area
Room 801-803
4A Biotech Co.,Ltd.
Tel +86 (0512) 65829739 传真 +86 (010) 6788 5057

Quick Overview for SPPL3 抗体 (AA 213-263) (ABIN7169631)

抗原

See all SPPL3 抗体
SPPL3 (Signal Peptide Peptidase 3 (SPPL3))

适用

  • 14
  • 1
  • 1
  • 1
  • 1
  • 1
  • 1
  • 1
  • 1
  • 1
  • 1
  • 1

宿主

  • 14

克隆类型

  • 14
多克隆

标记

  • 5
  • 3
  • 2
  • 2
  • 1
  • 1
This SPPL3 antibody is un-conjugated

应用范围

  • 10
  • 9
  • 1
ELISA, Western Blotting (WB)
  • 抗原表位

    • 7
    • 4
    • 3
    • 1
    AA 213-263

    原理

    SPPL3 Antibody

    交叉反应

    小鼠, 大鼠

    纯化方法

    Protein G purified

    纯度

    >95 %

    免疫原

    Recombinant Human Signal peptide peptidase-like 3 protein (213-263AA)

    亚型

    IgG
  • 应用备注

    Optimal working dilution should be determined by the investigator.

    限制

    仅限研究用
  • 状态

    Liquid

    缓冲液

    Preservative: 0.03 % Proclin 300
    Constituents: 50 % Glycerol, 0.01M PBS, PH 7.4

    储存液

    ProClin

    注意事项

    This product contains ProClin: a POISONOUS AND HAZARDOUS SUBSTANCE which should be handled by trained staff only.

    储存条件

    -20 °C,-80 °C

    储存方法

    Upon receipt, store at -20°C or -80°C. Avoid repeated freeze.
  • 抗原

    SPPL3 (Signal Peptide Peptidase 3 (SPPL3))

    别名

    SPPL3

    背景

    Background: Intramembrane-cleaving aspartic protease (I-CLiP) that cleaves type II membrane protein substrates in or close to their luminal transmembrane domain boundaries (PubMed:16873890, PubMed:25354954, PubMed:25827571). Acts like a sheddase by mediating the proteolytic release and secretion of active site-containing ectodomains of glycan-modifiying glycosidase and glycosyltransferase enzymes such as MGAT5, B4GAT1 and B4GALT1 (PubMed:25354954, PubMed:25827571). Catalyzes the intramembrane cleavage of the envelope glycoprotein gp130 and/or the leader peptide gp18LP of the simian foamy virus independent of prior ectodomain shedding by furin or furin-like proprotein convertase (PC)-mediated cleavage proteolysis (PubMed:23132852). May also have the ability to serve as a shedding protease for subsequent intramembrane proteolysis by SPPL2A and SPPL2B of the envelope glycoprotein gp130 (PubMed:23132852). Plays a role in the regulation of cellular glycosylation processes (PubMed:25354954). Required to link T-cell antigen receptor (TCR) and calcineurin-NFAT signaling cascades in lymphocytes by promoting the association of STIM1 and ORAI1 during store-operated calcium entry (SOCE) in a protease-independent manner (PubMed:25384971).

    Aliases: SPPL3 antibody, IMP2 antibody, PSL4 antibody, Signal peptide peptidase-like 3 antibody, SPP-like 3 antibody, EC 3.4.23.- antibody, Intramembrane protease 2 antibody, IMP-2 antibody, Presenilin homologous protein 1 antibody, PSH1 antibody, Presenilin-like protein 4 antibody

    UniProt

    Q8TCT6
You are here: