电话:
+86 (0512) 65829739
传真:
+86 (010) 6788 5057
电子邮件:
orders@antibodies-online.cn

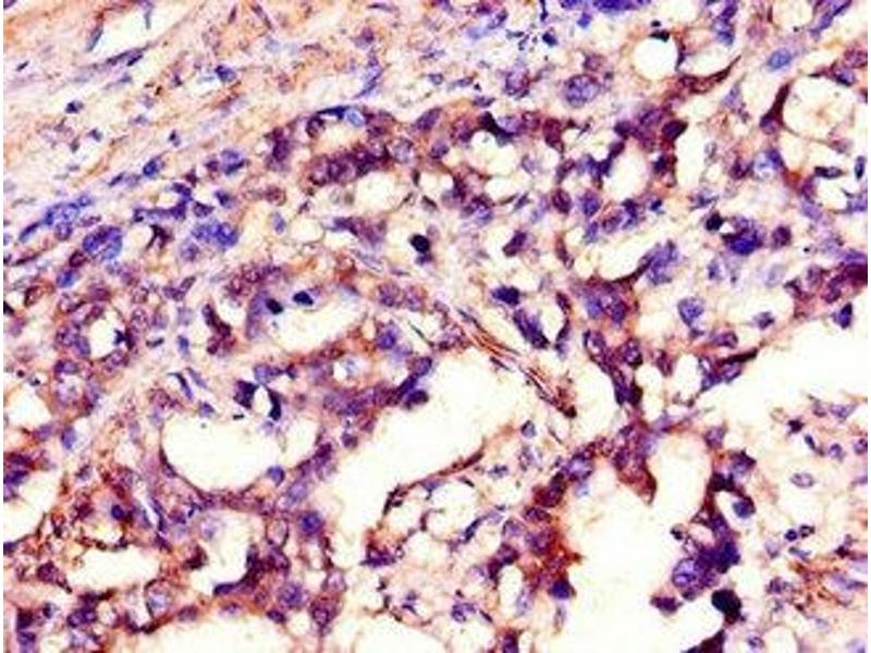
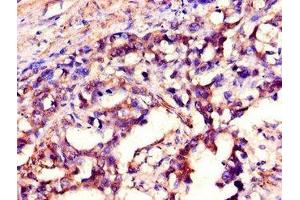
SH2D1A 抗体 (AA 11-124)

The 兔 多克隆 anti-SH2D1A antibody (ABIN7169449) specifically detects SH2D1A in ELISA, IHC 和 IF. The antibody is reactive with 人 samples.
产品编号 ABIN7169449
发货至: 中国
Contact our Customer Service for availability and price in your country. Contact Info

Our Local Distributor

中国
北京 101111
No. 88 KeChuang 6th Street
Beijing Economic Technological Development Area
Room 801-803
4A Biotech Co.,Ltd.
Tel +86 (0512) 65829739 传真 +86 (010) 6788 5057

Quick Overview for SH2D1A 抗体 (AA 11-124) (ABIN7169449)

抗原

See all SH2D1A 抗体
SH2D1A (SH2 Domain Containing 1A (SH2D1A))

适用

  • 52
  • 26
  • 25
  • 2
  • 2
  • 2
  • 2
  • 1
  • 1
  • 1
  • 1

宿主

  • 46
  • 6
  • 1
  • 1

克隆类型

  • 49
  • 5
多克隆

标记

  • 22
  • 5
  • 3
  • 3
  • 2
  • 2
  • 1
  • 1
  • 1
  • 1
  • 1
  • 1
  • 1
  • 1
  • 1
  • 1
  • 1
  • 1
  • 1
  • 1
  • 1
  • 1
  • 1
This SH2D1A antibody is un-conjugated

应用范围

  • 43
  • 13
  • 13
  • 4
  • 4
  • 4
  • 4
  • 3
  • 2
ELISA, Immunohistochemistry (IHC), Immunofluorescence (IF)
  • 抗原表位

    • 9
    • 8
    • 4
    • 4
    • 1
    • 1
    • 1
    • 1
    • 1
    AA 11-124

    原理

    SH2D1A Antibody

    纯化方法

    Protein G purified

    纯度

    >95 %

    免疫原

    Recombinant Human SH2 domain-containing protein 1A protein (11-124AA)

    亚型

    IgG
  • 应用备注

    Optimal working dilution should be determined by the investigator.

    限制

    仅限研究用
  • 状态

    Liquid

    缓冲液

    Preservative: 0.03 % Proclin 300
    Constituents: 50 % Glycerol, 0.01M PBS, PH 7.4

    储存液

    ProClin

    注意事项

    This product contains ProClin: a POISONOUS AND HAZARDOUS SUBSTANCE which should be handled by trained staff only.

    储存条件

    -20 °C,-80 °C

    储存方法

    Upon receipt, store at -20°C or -80°C. Avoid repeated freeze.
  • 抗原

    SH2D1A (SH2 Domain Containing 1A (SH2D1A))

    别名

    SH2D1A

    背景

    Background: Cytoplasmic adapter regulating receptors of the signaling lymphocytic activation molecule (SLAM) family such as SLAMF1, CD244, LY9, CD84, SLAMF6 and SLAMF7. In SLAM signaling seems to cooperate with SH2D1B/EAT-2. Initially it has been proposed that association with SLAMF1 prevents SLAMF1 binding to inhibitory effectors including INPP5D/SHIP1 and PTPN11/SHP-2 (PubMed:11806999). However, by simultaneous interactions, recruits FYN which subsequently phosphorylates and activates SLAMF1 (PubMed:12458214). Positively regulates CD244/2B4- and CD84-mediated natural killer (NK) cell functions. Can also promote CD48-, SLAMF6 -, LY9-, and SLAMF7-mediated NK cell activation. In the context of NK cell-mediated cytotoxicity enhances conjugate formation with target cells (By similarity). May also regulate the activity of the neurotrophin receptors NTRK1, NTRK2 and NTRK3.

    Aliases: DSHP antibody, Duncan disease SH2 protein antibody, Duncan disease SH2-protein antibody, EBVS antibody, IMD5 antibody, LYP antibody, MTCP1 antibody, SAP antibody, SAP/SH2D1A antibody, SH2 domain containing 1A antibody, SH2 domain protein 1A antibody, SH2 domain-containing protein 1A antibody, SH21A_HUMAN antibody, SH2D1A antibody, Signaling lymphocyte activation molecule associated protein antibody, Signaling lymphocytic activation molecule-associated protein antibody, SLAM associated protein antibody, SLAM associated protein/SH2 domain protein 1A antibody, SLAM-associated protein antibody, T cell signal transduction molecule SAP antibody, T-cell signal transduction molecule SAP antibody, XLP antibody, XLPD antibody

    UniProt

    O60880

    途径

    Regulation of Leukocyte Mediated Immunity, Positive Regulation of Immune Effector Process
You are here: