电话:
+86 (0512) 65829739
传真:
+86 (010) 6788 5057
电子邮件:
orders@antibodies-online.cn

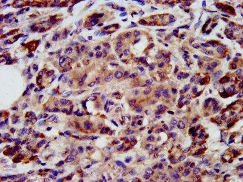
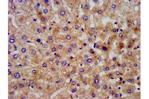
PON3 抗体 (AA 269-335)

The 兔 多克隆 anti-PON3 antibody (ABIN7169389) specifically detects PON3 in ELISA 和 IHC. The antibody is reactive with 人 samples.
产品编号 ABIN7169389
发货至: 中国
Contact our Customer Service for availability and price in your country. Contact Info

Our Local Distributor

中国
北京 101111
No. 88 KeChuang 6th Street
Beijing Economic Technological Development Area
Room 801-803
4A Biotech Co.,Ltd.
Tel +86 (0512) 65829739 传真 +86 (010) 6788 5057

Quick Overview for PON3 抗体 (AA 269-335) (ABIN7169389)

抗原

See all PON3 抗体
PON3 (Paraoxonase 3 (PON3))

适用

  • 50
  • 11
  • 9
  • 4
  • 4
  • 4
  • 2
  • 2
  • 2

宿主

  • 45
  • 4
  • 1
  • 1

克隆类型

  • 48
  • 3
多克隆

标记

  • 28
  • 4
  • 3
  • 3
  • 1
  • 1
  • 1
  • 1
  • 1
  • 1
  • 1
  • 1
  • 1
  • 1
  • 1
  • 1
  • 1
This PON3 antibody is un-conjugated

应用范围

  • 46
  • 18
  • 15
  • 13
  • 13
  • 10
  • 7
  • 3
  • 3
  • 2
  • 1
  • 1
  • 1
ELISA, Immunohistochemistry (IHC)
  • 抗原表位

    • 15
    • 8
    • 4
    • 4
    • 3
    • 2
    • 2
    • 1
    • 1
    • 1
    • 1
    • 1
    • 1
    • 1
    • 1
    • 1
    • 1
    AA 269-335

    原理

    PON3 Antibody

    纯化方法

    Protein G purified

    纯度

    >95 %

    免疫原

    Recombinant Human Serum paraoxonase/lactonase 3 protein (269-335AA)

    亚型

    IgG
  • 应用备注

    Optimal working dilution should be determined by the investigator.

    限制

    仅限研究用
  • 状态

    Liquid

    缓冲液

    Preservative: 0.03 % Proclin 300
    Constituents: 50 % Glycerol, 0.01M PBS, pH 7.4

    储存液

    ProClin

    注意事项

    This product contains ProClin: a POISONOUS AND HAZARDOUS SUBSTANCE which should be handled by trained staff only.

    储存条件

    -20 °C,-80 °C

    储存方法

    Upon receipt, store at -20°C or -80°C. Avoid repeated freeze.
  • 抗原

    PON3 (Paraoxonase 3 (PON3))

    别名

    PON3

    背景

    Background: Has low activity towards the organophosphate paraxon and aromatic carboxylic acid esters. Rapidly hydrolyzes lactones such as statin prodrugs (e.g. lovastatin). Hydrolyzes aromatic lactones and 5- or 6-member ring lactones with aliphatic substituents but not simple lactones or those with polar substituents.

    Aliases: 2810004E20 antibody, AI786302 antibody, MGC95026 antibody, Paraoxonase 3 antibody, Pon3 antibody, PON3_HUMAN antibody, Serum paraoxonase/lactonase 3 antibody

    UniProt

    Q15166

    途径

    Monocarboxylic Acid Catabolic Process
You are here: