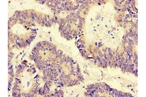
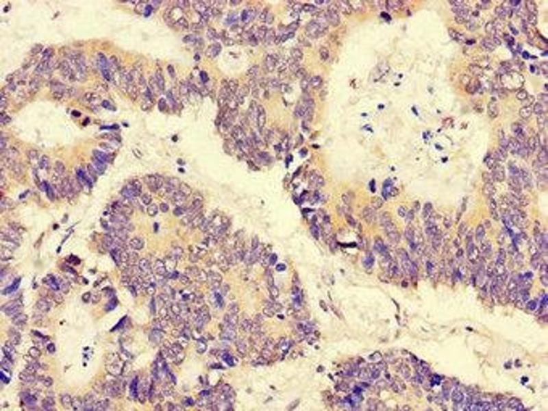
PGAM5 抗体 (AA 30-223)
Our Local Distributor
北京 101111
Quick Overview for PGAM5 抗体 (AA 30-223) (ABIN7169300)
抗原
See all PGAM5 抗体适用
宿主
克隆类型
标记
应用范围
-
-
抗原表位
- AA 30-223
-
原理
- PGAM5 Antibody
-
纯化方法
- Protein G purified
-
纯度
- >95 %
-
免疫原
- Recombinant Human Serine/threonine-protein phosphatase PGAM5, mitochondrial protein (30-223AA)
-
亚型
- IgG
-
-
-
-
应用备注
- Optimal working dilution should be determined by the investigator.
-
限制
- 仅限研究用
-
-
-
状态
- Liquid
-
缓冲液
-
Preservative: 0.03 % Proclin 300
Constituents: 50 % Glycerol, 0.01M PBS, PH 7.4 -
储存液
- ProClin
-
注意事项
- This product contains ProClin: a POISONOUS AND HAZARDOUS SUBSTANCE which should be handled by trained staff only.
-
储存条件
- -20 °C,-80 °C
-
储存方法
- Upon receipt, store at -20°C or -80°C. Avoid repeated freeze.
-
-
- PGAM5 (Phosphoglycerate Mutase Family Member 5 (PGAM5))
-
别名
- PGAM5
-
背景
-
Background: Displays phosphatase activity for serine/threonine residues, and, dephosphorylates and activates MAP3K5 kinase. Has apparently no phosphoglycerate mutase activity. May be regulator of mitochondrial dynamics. Substrate for a KEAP1-dependent ubiquitin ligase complex. Contributes to the repression of NFE2L2-dependent gene expression. Acts as a central mediator for programmed necrosis induced by TNF, by reactive oxygen species and by calcium ionophore.
Aliases: Bcl-XL-binding protein v68 antibody, BXLBv68 antibody, MGC5352 antibody, mitochondrial antibody, PGAM5 antibody, PGAM5_HUMAN antibody, Phosphoglycerate mutase family member 5 antibody, Serine/threonine protein phosphatase PGAM5 mitochondrial antibody, Serine/threonine-protein phosphatase PGAM5 antibody
-
UniProt
- Q96HS1
抗原
-