电话:
+86 (0512) 65829739
传真:
+86 (010) 6788 5057
电子邮件:
orders@antibodies-online.cn

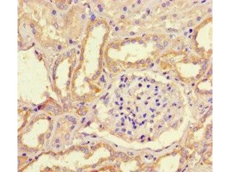
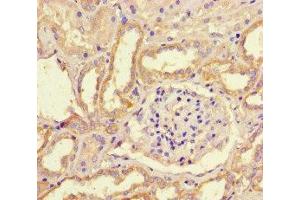
WNK4 抗体 (AA 828-1106)

This 兔 多克隆 antibody specifically detects WNK4 in ELISA, IHC 和 IF. It exhibits reactivity toward 人.
产品编号 ABIN7169234
发货至: 中国
Contact our Customer Service for availability and price in your country. Contact Info

Our Local Distributor

中国
北京 101111
No. 88 KeChuang 6th Street
Beijing Economic Technological Development Area
Room 801-803
4A Biotech Co.,Ltd.
Tel +86 (0512) 65829739 传真 +86 (010) 6788 5057

Quick Overview for WNK4 抗体 (AA 828-1106) (ABIN7169234)

抗原

See all WNK4 抗体
WNK4 (WNK Lysine Deficient Protein Kinase 4 (WNK4))

适用

  • 42
  • 34
  • 29
  • 4
  • 1

宿主

  • 43
  • 2

克隆类型

  • 43
  • 2
多克隆

标记

  • 14
  • 5
  • 3
  • 2
  • 2
  • 2
  • 1
  • 1
  • 1
  • 1
  • 1
  • 1
  • 1
  • 1
  • 1
  • 1
  • 1
  • 1
  • 1
  • 1
  • 1
  • 1
  • 1
This WNK4 antibody is un-conjugated

应用范围

ELISA, Immunohistochemistry (IHC), Immunofluorescence (IF)
  • 抗原表位

    • 5
    • 4
    • 4
    • 3
    • 2
    • 1
    • 1
    • 1
    • 1
    • 1
    • 1
    AA 828-1106

    原理

    WNK4 Antibody

    纯化方法

    Protein G purified

    纯度

    >95 %

    免疫原

    Recombinant Human Serine/threonine-protein kinase WNK4 protein (828-1106AA)

    亚型

    IgG
  • 应用备注

    Optimal working dilution should be determined by the investigator.

    限制

    仅限研究用
  • 状态

    Liquid

    缓冲液

    Preservative: 0.03 % Proclin 300
    Constituents: 50 % Glycerol, 0.01M PBS, PH 7.4

    储存液

    ProClin

    注意事项

    This product contains ProClin: a POISONOUS AND HAZARDOUS SUBSTANCE which should be handled by trained staff only.

    储存条件

    -20 °C,-80 °C

    储存方法

    Upon receipt, store at -20°C or -80°C. Avoid repeated freeze.
  • 抗原

    WNK4 (WNK Lysine Deficient Protein Kinase 4 (WNK4))

    别名

    WNK4

    背景

    Background: Serine/threonine kinase which plays an important role in the regulation of electrolyte homeostasis, cell signaling, survival and proliferation. Acts as an activator and inhibitor of sodium-coupled chloride cotransporters and potassium-coupled chloride cotransporters respectively. Activates SCNN1A, SCNN1B, SCNN1D, SGK1, TRPV5 and TRPV6. Regulates the activity of the thiazide-sensitive Na-Cl cotransporter, SLC12A3, by phosphorylation which appears to prevent membrane trafficking of SLC12A3. Also inhibits the renal K(+) channel, KCNJ1, via a kinase-independent mechanism by which it induces clearance of the protein from the cell surface by clathrin-dependent endocytosis. WNK4 appears to act as a molecular switch that can vary the balance between NaCl reabsorption and K(+) secretion to maintain integrated homeostasis. Phosphorylates NEDD4L. Acts as a scaffold to inhibit SLC4A4 as well as CFTR activities and surface expression, recruits STK39 which mediates the inhibition (By similarity).

    Aliases: PHA 2B antibody, PHA2B antibody, PRKWNK 4 antibody, PRKWNK4 antibody, Protein kinase lysine deficient 4 antibody, Protein kinase lysine-deficient 4 antibody, Protein kinase with no lysine 4 antibody, Serine/threonine protein kinase WNK4 antibody, Serine/threonine-protein kinase WNK4 antibody, WNK lysine deficient protein kinase 4 antibody, Wnk4 antibody, WNK4_HUMAN antibody

    UniProt

    Q96J92
You are here: