电话:
+86 (0512) 65829739
传真:
+86 (010) 6788 5057
电子邮件:
orders@antibodies-online.cn

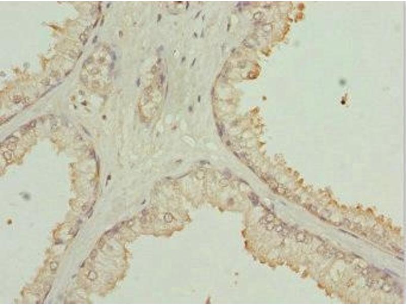
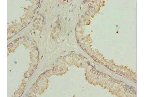
ULK3 抗体 (AA 44-240)

This 兔 多克隆 antibody specifically detects ULK3 in ELISA 和 IHC. It exhibits reactivity toward 人.
产品编号 ABIN7169213
发货至: 中国
Contact our Customer Service for availability and price in your country. Contact Info

Our Local Distributor

中国
北京 101111
No. 88 KeChuang 6th Street
Beijing Economic Technological Development Area
Room 801-803
4A Biotech Co.,Ltd.
Tel +86 (0512) 65829739 传真 +86 (010) 6788 5057

Quick Overview for ULK3 抗体 (AA 44-240) (ABIN7169213)

抗原

See all ULK3 抗体
ULK3 (Unc-51-Like Kinase 3 (ULK3))

适用

  • 55
  • 53
  • 30
  • 4
  • 3
  • 2
  • 2
  • 2
  • 2
  • 1

宿主

  • 56
  • 9
  • 2

克隆类型

  • 48
  • 19
多克隆

标记

  • 35
  • 5
  • 4
  • 3
  • 3
  • 3
  • 2
  • 2
  • 2
  • 2
  • 2
  • 2
  • 1
  • 1
This ULK3 antibody is un-conjugated

应用范围

  • 59
  • 29
  • 23
  • 14
  • 13
  • 5
  • 5
  • 3
  • 1
ELISA, Immunohistochemistry (IHC)
  • 抗原表位

    • 8
    • 8
    • 8
    • 8
    • 2
    • 2
    • 2
    • 2
    • 2
    • 1
    • 1
    • 1
    • 1
    • 1
    • 1
    • 1
    • 1
    • 1
    • 1
    • 1
    AA 44-240

    原理

    ULK3 Antibody

    纯化方法

    Antigen Affinity Purified

    免疫原

    Recombinant Human Serine/threonine-protein kinase ULK3 protein (44-240AA)

    亚型

    IgG
  • 应用备注

    Optimal working dilution should be determined by the investigator.

    限制

    仅限研究用
  • 状态

    Liquid

    缓冲液

    PBS with 0.02 % sodium azide, 50 % glycerol, pH 7.3.

    储存液

    Sodium azide

    注意事项

    This product contains Sodium azide: a POISONOUS AND HAZARDOUS SUBSTANCE which should be handled by trained staff only.

    储存条件

    -20 °C,-80 °C

    储存方法

    Upon receipt, store at -20°C or -80°C. Avoid repeated freeze.
  • 抗原

    ULK3 (Unc-51-Like Kinase 3 (ULK3))

    别名

    ULK3

    背景

    Background: Serine/threonine protein kinase that acts as a regulator of Sonic hedgehog (SHH) signaling and autophagy. Acts as a negative regulator of SHH signaling in the absence of SHH ligand: interacts with SUFU, thereby inactivating the protein kinase activity and preventing phosphorylation of GLI proteins (GLI1, GLI2 and/or GLI3). Positively regulates SHH signaling in the presence of SHH: dissociates from SUFU, autophosphorylates and mediates phosphorylation of GLI2, activating it and promoting its nuclear translocation. Phosphorylates in vitro GLI2, as well as GLI1 and GLI3, although less efficiently. Also acts as a regulator of autophagy: following cellular senescence, able to induce autophagy.

    Aliases: DKFZP434C131 antibody, FLJ90566 antibody, Serine/threonine-protein kinase ULK3 antibody, Ulk3 antibody, ULK3_HUMAN antibody, unc 51 like kinase 3 (C. elegans) antibody, Unc-51-like kinase 3 antibody

    UniProt

    Q6PHR2
You are here: