电话:
+86 (0512) 65829739
传真:
+86 (010) 6788 5057
电子邮件:
orders@antibodies-online.cn

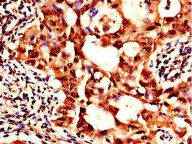
SIK1 抗体 (AA 492-750)

The 兔 多克隆 anti-SIK1 antibody is suitable to detect SIK1 in samples from 人. It has been validated for ELISA, IHC 和 IF.
产品编号 ABIN7169181
发货至: 中国
Contact our Customer Service for availability and price in your country. Contact Info

Our Local Distributor

中国
北京 101111
No. 88 KeChuang 6th Street
Beijing Economic Technological Development Area
Room 801-803
4A Biotech Co.,Ltd.
Tel +86 (0512) 65829739 传真 +86 (010) 6788 5057

Quick Overview for SIK1 抗体 (AA 492-750) (ABIN7169181)

抗原

See all SIK1 抗体
SIK1 (Salt-Inducible Kinase 1 (SIK1))

适用

  • 69
  • 38
  • 25
  • 4
  • 3
  • 3
  • 2
  • 1
  • 1
  • 1
  • 1
  • 1
  • 1
  • 1

宿主

  • 69
  • 5

克隆类型

  • 71
  • 3
多克隆

标记

  • 32
  • 5
  • 5
  • 4
  • 3
  • 2
  • 2
  • 2
  • 2
  • 2
  • 2
  • 2
  • 1
  • 1
  • 1
  • 1
  • 1
  • 1
  • 1
  • 1
  • 1
  • 1
  • 1
This SIK1 antibody is un-conjugated

应用范围

  • 54
  • 30
  • 15
  • 15
  • 8
  • 7
  • 2
  • 1
ELISA, Immunohistochemistry (IHC), Immunofluorescence (IF)
  • 抗原表位

    • 16
    • 8
    • 8
    • 7
    • 5
    • 4
    • 3
    • 3
    • 3
    • 2
    • 2
    • 2
    • 1
    • 1
    • 1
    • 1
    • 1
    • 1
    AA 492-750

    原理

    SIK1 Antibody

    纯化方法

    Protein G purified

    纯度

    >95 %

    免疫原

    Recombinant Human Serine/threonine-protein kinase SIK1 protein (492-750AA)

    亚型

    IgG
  • 应用备注

    Optimal working dilution should be determined by the investigator.

    限制

    仅限研究用
  • 状态

    Liquid

    缓冲液

    Preservative: 0.03 % Proclin 300
    Constituents: 50 % Glycerol, 0.01M PBS, PH 7.4

    储存液

    ProClin

    注意事项

    This product contains ProClin: a POISONOUS AND HAZARDOUS SUBSTANCE which should be handled by trained staff only.

    储存条件

    -20 °C,-80 °C

    储存方法

    Upon receipt, store at -20°C or -80°C. Avoid repeated freeze.
  • 抗原

    SIK1 (Salt-Inducible Kinase 1 (SIK1))

    别名

    SIK1

    背景

    Background: Serine/threonine-protein kinase involved in various processes such as cell cycle regulation, gluconeogenesis and lipogenesis regulation, muscle growth and differentiation and tumor suppression. Phosphorylates HDAC4, HDAC5, PPME1, SREBF1, CRTC1/TORC1 and CRTC2/TORC2. Acts as a tumor suppressor and plays a key role in p53/TP53-dependent anoikis, a type of apoptosis triggered by cell detachment: required for phosphorylation of p53/TP53 in response to loss of adhesion and is able to suppress metastasis. Part of a sodium-sensing signaling network, probably by mediating phosphorylation of PPME1: following increases in intracellular sodium, SIK1 is activated by CaMK1 and phosphorylates PPME1 subunit of protein phosphatase 2A (PP2A), leading to dephosphorylation of sodium/potassium-transporting ATPase ATP1A1 and subsequent increase activity of ATP1A1. Acts as a regulator of muscle cells by phosphorylating and inhibiting class II histone deacetylases HDAC4 and HDAC5, leading to promote expression of MEF2 target genes in myocytes. Also required during cardiomyogenesis by regulating the exit of cardiomyoblasts from the cell cycle via down-regulation of CDKN1C/p57Kip2. Acts as a regulator of hepatic gluconeogenesis by phosphorylating and repressing the CREB-specific coactivators CRTC1/TORC1 and CRTC2/TORC2, leading to inhibit CREB activity. Also regulates hepatic lipogenesis by phosphorylating and inhibiting SREBF1. In concert with CRTC1/TORC1, regulates the light-induced entrainment of the circadian clock by attenuating PER1 induction, represses CREB-mediated transcription of PER1 by phosphorylating and deactivating CRTC1/TORC1 (By similarity).

    Aliases: KID2 antibody, MSK antibody, myocardial SNF1 like kinase antibody, QIK antibody, Qin-induced kinase antibody, Salt inducible kinase 1 antibody, Salt-inducible protein kinase 1 antibody, Serine threonine protein kinase SNF1 like kinase 1 antibody, Serine threonine protein kinase SNF1LK antibody, Serine/threonine-protein kinase SIK1 antibody, Serine/threonine-protein kinase SNF1-like kinase 1 antibody, Serine/threonine-protein kinase SNF1LK antibody, SIK-1 antibody, SIK1 antibody, SIK1_HUMAN antibody, SNF1 like kinase antibody, Snf1lk antibody

    UniProt

    P57059

    途径

    Regulation of Muscle Cell Differentiation, Skeletal Muscle Fiber Development, Regulation of Carbohydrate Metabolic Process
You are here: