电话:
+86 (0512) 65829739
传真:
+86 (010) 6788 5057
电子邮件:
orders@antibodies-online.cn

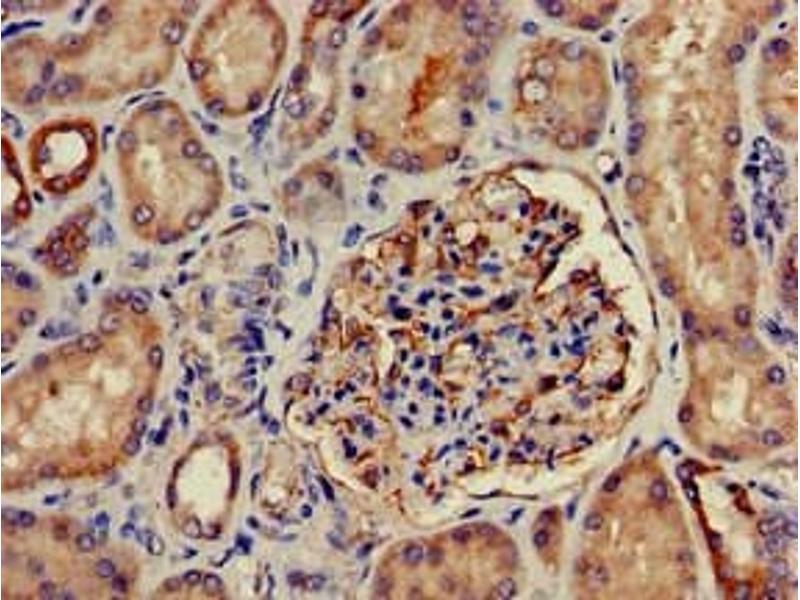
PRKD3 抗体 (AA 326-510)

The 兔 多克隆 anti-PRKD3 antibody (ABIN7169035) specifically detects PRKD3 in WB, IHC 和 ELISA. The antibody is reactive with 人 samples.
产品编号 ABIN7169035
发货至: 中国
Contact our Customer Service for availability and price in your country. Contact Info

Our Local Distributor

中国
北京 101111
No. 88 KeChuang 6th Street
Beijing Economic Technological Development Area
Room 801-803
4A Biotech Co.,Ltd.
Tel +86 (0512) 65829739 传真 +86 (010) 6788 5057

Quick Overview for PRKD3 抗体 (AA 326-510) (ABIN7169035)

抗原

See all PRKD3 抗体
PRKD3 (Protein Kinase D3 (PRKD3))

适用

  • 49
  • 33
  • 19
  • 15
  • 1
  • 1

宿主

  • 81
  • 3

克隆类型

  • 80
  • 4
多克隆

标记

  • 30
  • 7
  • 7
  • 6
  • 3
  • 3
  • 2
  • 2
  • 2
  • 2
  • 2
  • 2
  • 2
  • 2
  • 2
  • 2
  • 2
  • 1
  • 1
  • 1
  • 1
  • 1
  • 1
This PRKD3 antibody is un-conjugated

应用范围

  • 73
  • 35
  • 34
  • 26
  • 26
  • 20
  • 15
  • 13
  • 6
  • 3
Western Blotting (WB), Immunohistochemistry (IHC), ELISA
  • 抗原表位

    • 15
    • 15
    • 10
    • 10
    • 8
    • 5
    • 3
    • 3
    • 2
    • 2
    • 1
    • 1
    • 1
    • 1
    • 1
    AA 326-510

    原理

    PRKD3 Antibody

    交叉反应

    大鼠

    纯化方法

    Protein G purified

    纯度

    >95 %

    免疫原

    Recombinant Human Serine/threonine-protein kinase D3 protein (326-510AA)

    亚型

    IgG
  • 应用备注

    Optimal working dilution should be determined by the investigator.

    限制

    仅限研究用
  • 状态

    Liquid

    缓冲液

    Preservative: 0.03 % Proclin 300
    Constituents: 50 % Glycerol, 0.01M PBS, pH 7.4

    储存液

    ProClin

    注意事项

    This product contains ProClin: a POISONOUS AND HAZARDOUS SUBSTANCE which should be handled by trained staff only.

    储存条件

    -20 °C,-80 °C

    储存方法

    Upon receipt, store at -20°C or -80°C. Avoid repeated freeze.
  • 抗原

    PRKD3 (Protein Kinase D3 (PRKD3))

    别名

    PRKD3

    背景

    Background: Converts transient diacylglycerol (DAG) signals into prolonged physiological effects, downstream of PKC. Involved in resistance to oxidative stress (By similarity).

    Aliases: EPK 2 antibody, EPK2 antibody, KPCD3_HUMAN antibody, nPKC nu antibody, nPKC-nu antibody, nPKCnu antibody, nu antibody, PKCnu antibody, PKD 3 antibody, PKD3 antibody, PRK D3 antibody, PRKCN antibody, PRKD 3 antibody, Prkd3 antibody, Protein kinase C antibody, Protein kinase C nu antibody, Protein kinase C nu type antibody, Protein kinase D3 antibody, Protein kinase EPK 2 antibody, Protein kinase EPK2 antibody, Serine threonine protein kinase antibody, Serine/threonine protein kinase D3 antibody, Serine/threonine-protein kinase D3 antibody

    UniProt

    O94806
You are here: