电话:
+86 (0512) 65829739
传真:
+86 (010) 6788 5057
电子邮件:
orders@antibodies-online.cn

SRSF1 抗体 (AA 1-248)

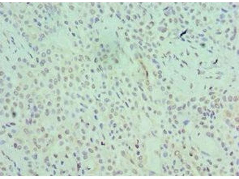
The 兔 多克隆 anti-SRSF1 antibody (ABIN7168966) specifically detects SRSF1 in IHC 和 ELISA. The antibody is reactive with 人 samples.
产品编号 ABIN7168966
发货至: 中国
Contact our Customer Service for availability and price in your country. Contact Info

Our Local Distributor

中国
北京 101111
No. 88 KeChuang 6th Street
Beijing Economic Technological Development Area
Room 801-803
4A Biotech Co.,Ltd.
Tel +86 (0512) 65829739 传真 +86 (010) 6788 5057

Quick Overview for SRSF1 抗体 (AA 1-248) (ABIN7168966)

抗原

See all SRSF1 抗体
SRSF1 (serine/arginine-Rich Splicing Factor 1 (SRSF1))

适用

  • 61
  • 40
  • 40
  • 7
  • 7
  • 5
  • 5
  • 4
  • 4
  • 3
  • 3
  • 3
  • 3
  • 3
  • 2
  • 1
  • 1
  • 1

宿主

  • 58
  • 3

克隆类型

  • 38
  • 23
多克隆

标记

  • 33
  • 4
  • 3
  • 3
  • 3
  • 3
  • 3
  • 3
  • 1
  • 1
  • 1
  • 1
  • 1
  • 1
This SRSF1 antibody is un-conjugated

应用范围

  • 47
  • 23
  • 17
  • 15
  • 12
  • 10
  • 10
  • 6
  • 1
  • 1
  • 1
Immunohistochemistry (IHC), ELISA
  • 抗原表位

    • 8
    • 5
    • 4
    • 2
    • 2
    • 2
    • 1
    • 1
    • 1
    • 1
    • 1
    • 1
    • 1
    • 1
    AA 1-248

    原理

    SRSF1 Antibody

    纯化方法

    Antigen Affinity Purified

    免疫原

    Recombinant Human Serine/arginine-rich splicing factor 1 protein (1-248AA)

    亚型

    IgG
  • 应用备注

    Optimal working dilution should be determined by the investigator.

    限制

    仅限研究用
  • 状态

    Liquid

    缓冲液

    PBS with 0.02 % sodium azide, 50 % glycerol, pH 7.3.

    储存液

    Sodium azide

    注意事项

    This product contains Sodium azide: a POISONOUS AND HAZARDOUS SUBSTANCE which should be handled by trained staff only.

    储存条件

    -20 °C,-80 °C

    储存方法

    Upon receipt, store at -20°C or -80°C. Avoid repeated freeze.
  • 抗原

    SRSF1 (serine/arginine-Rich Splicing Factor 1 (SRSF1))

    别名

    SRSF1

    背景

    Background: Plays a role in preventing exon skipping, ensuring the accuracy of splicing and regulating alternative splicing. Interacts with other spliceosomal components, via the RS domains, to form a bridge between the 5\\\'- and 3\\\'-splice site binding components, U1 snRNP and U2AF. Can stimulate binding of U1 snRNP to a 5\\\'-splice site-containing pre-mRNA. Binds to purine-rich RNA sequences, either the octamer, 5\\\'-RGAAGAAC-3\\\' (r=A or G) or the decamers, AGGACAGAGC/AGGACGAAGC. Binds preferentially to the 5\\\'-CGAGGCG-3\\\' motif in vitro. Three copies of the octamer constitute a powerful splicing enhancer in vitro, the ASF/SF2 splicing enhancer (ASE) which can specifically activate ASE-dependent splicing. Isoform ASF-2 and isoform ASF-3 act as splicing repressors. May function as export adapter involved in mRNA nuclear export through the TAP/NXF1 pathway.

    Aliases: Alternative splicing factor 1 antibody, Alternative-splicing factor 1 antibody, arginine/serine-rich 1 antibody, ASF 1 antibody, ASF antibody, ASF-1 antibody, ASF1 antibody, FLJ53078 antibody, MGC5228 antibody, P33 subunit antibody, Pre mRNA splicing factor SF2 P33 subunit antibody, pre-mRNA-splicing factor SF2 antibody, Serine/arginine-rich splicing factor 1 antibody, SF2 antibody, SF2P33 antibody, SFRS1 antibody, Splicing factor 2 alternate splicing factor antibody, Splicing factor 2 antibody, Splicing factor antibody, Splicing factor arginine/serine rich 1 antibody, SR Splicing factor 1 antibody, SRp30a antibody, srsf1 antibody, SRSF1_HUMAN antibody

    UniProt

    Q07955

    途径

    Ribonucleoprotein Complex Subunit Organization
You are here: