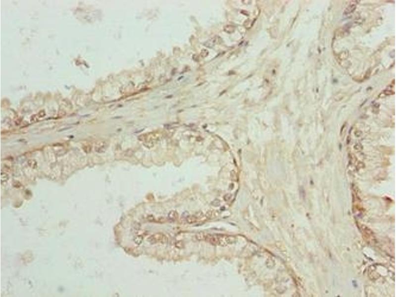
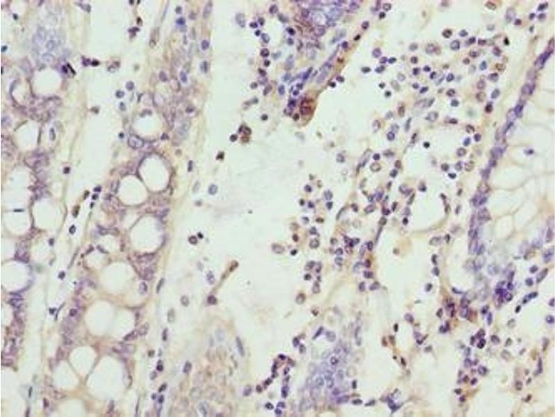
SPTLC3 抗体 (AA 1-58)
Our Local Distributor
北京 101111
Quick Overview for SPTLC3 抗体 (AA 1-58) (ABIN7168900)
抗原
See all SPTLC3 抗体适用
宿主
克隆类型
标记
应用范围
-
-
抗原表位
- AA 1-58
-
原理
- SPTLC3 Antibody
-
交叉反应
- 小鼠
-
纯化方法
- Antigen Affinity Purified
-
免疫原
- Recombinant Human Serine palmitoyltransferase 3 protein (1-58AA)
-
亚型
- IgG
-
-
-
-
应用备注
- Optimal working dilution should be determined by the investigator.
-
限制
- 仅限研究用
-
-
-
状态
- Liquid
-
缓冲液
-
Preservative: 0.03 % Proclin 300
Constituents: 50 % Glycerol, 0.01M PBS, PH 7.4 -
储存液
- ProClin
-
注意事项
- This product contains ProClin: a POISONOUS AND HAZARDOUS SUBSTANCE which should be handled by trained staff only.
-
储存条件
- -20 °C,-80 °C
-
储存方法
- Upon receipt, store at -20°C or -80°C. Avoid repeated freeze.
-
-
- SPTLC3 (Serine Palmitoyltransferase, Long Chain Base Subunit 3 (SPTLC3))
-
别名
- SPTLC3
-
背景
-
Background: Serine palmitoyltransferase (SPT). The heterodimer formed with LCB1/SPTLC1 constitutes the catalytic core. The composition of the serine palmitoyltransferase (SPT) complex determines the substrate preference. The SPTLC1-SPTLC3-SPTSSA isozyme uses both C14-CoA and C16-CoA as substrates, while the SPTLC1-SPTLC3-SPTSSB has the ability to use a broader range of acyl-CoAs without apparent preference.
Aliases: LCB 3 antibody, LCB2b antibody, Long chain base biosynthesis protein 2b antibody, Long chain base biosynthesis protein 3 antibody, Serine palmitoyltransferase 3 antibody, Serine-palmitoyl-CoA transferase 3 antibody, SPT 3 antibody, SPTC3_HUMAN antibody, SPTLC3 antibody
-
UniProt
- Q9NUV7
抗原
-