电话:
+86 (0512) 65829739
传真:
+86 (010) 6788 5057
电子邮件:
orders@antibodies-online.cn

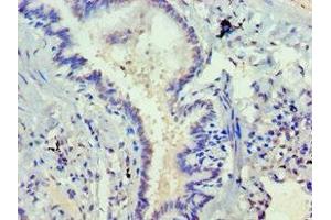
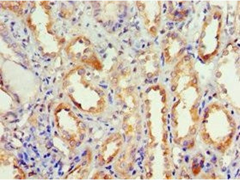
DVL2 抗体 (AA 1-240)

The 兔 多克隆 anti-DVL2 antibody is suitable to detect DVL2 in samples from 人. It has been validated for WB, IHC, ELISA 和 IF.
产品编号 ABIN7168752
发货至: 中国
Contact our Customer Service for availability and price in your country. Contact Info

Our Local Distributor

中国
北京 101111
No. 88 KeChuang 6th Street
Beijing Economic Technological Development Area
Room 801-803
4A Biotech Co.,Ltd.
Tel +86 (0512) 65829739 传真 +86 (010) 6788 5057

Quick Overview for DVL2 抗体 (AA 1-240) (ABIN7168752)

抗原

See all DVL2 抗体
DVL2 (Dishevelled, Dsh Homolog 2 (Drosophila) (DVL2))

适用

  • 73
  • 36
  • 26
  • 16
  • 2
  • 2
  • 2
  • 2
  • 2
  • 1
  • 1
  • 1

宿主

  • 68
  • 5

克隆类型

  • 69
  • 4
多克隆

标记

  • 34
  • 3
  • 3
  • 3
  • 2
  • 2
  • 2
  • 2
  • 2
  • 2
  • 2
  • 2
  • 2
  • 2
  • 2
  • 1
  • 1
  • 1
  • 1
  • 1
  • 1
  • 1
  • 1
This DVL2 antibody is un-conjugated

应用范围

  • 62
  • 26
  • 18
  • 13
  • 11
  • 10
  • 4
  • 4
  • 3
  • 3
  • 1
  • 1
Western Blotting (WB), Immunohistochemistry (IHC), ELISA, Immunofluorescence (IF)
  • 抗原表位

    • 15
    • 15
    • 9
    • 6
    • 3
    • 2
    • 2
    • 2
    • 1
    • 1
    • 1
    • 1
    • 1
    • 1
    • 1
    • 1
    • 1
    • 1
    • 1
    • 1
    AA 1-240

    原理

    DVL2 Antibody

    纯化方法

    Antigen Affinity Purified

    免疫原

    Recombinant Human Segment polarity protein dishevelled homolog DVL-2 protein (1-240AA)

    亚型

    IgG
  • 应用备注

    Optimal working dilution should be determined by the investigator.

    限制

    仅限研究用
  • 状态

    Liquid

    缓冲液

    PBS with 0.02 % sodium azide, 50 % glycerol, pH 7.3.

    储存液

    Sodium azide

    注意事项

    This product contains Sodium azide: a POISONOUS AND HAZARDOUS SUBSTANCE which should be handled by trained staff only.

    储存条件

    -20 °C,-80 °C

    储存方法

    Upon receipt, store at -20°C or -80°C. Avoid repeated freeze.
  • 抗原

    DVL2 (Dishevelled, Dsh Homolog 2 (Drosophila) (DVL2))

    别名

    DVL2

    背景

    Background: Participates in Wnt signaling by binding to the cytoplasmic C-terminus of frizzled family members and transducing the Wnt signal to down-stream effectors. Promotes internalization and degradation of frizzled proteins upon Wnt signaling. Plays a role both in canonical and non-canonical Wnt signaling. Plays a role in the signal transduction pathways mediated by multiple Wnt genes .

    Aliases: Dishevelled 2 (homologous to Drosophila dsh) antibody, Dishevelled dsh homolog 2 antibody, dishevelled segment polarity protein 2 antibody, Dishevelled-2 antibody, Dishevelled2 antibody, DSH homolog 2 antibody, DVL 2 antibody, Dvl2 antibody, DVL2_HUMAN antibody, Segment polarity protein dishevelled homolog DVL 2 antibody, Segment polarity protein dishevelled homolog DVL-2 antibody, Segment polarity protein dishevelled homolog DVL2 antibody

    UniProt

    O14641

    途径

    Tube Formation
You are here: