电话:
+86 (0512) 65829739
传真:
+86 (010) 6788 5057
电子邮件:
orders@antibodies-online.cn

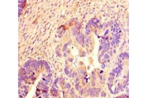
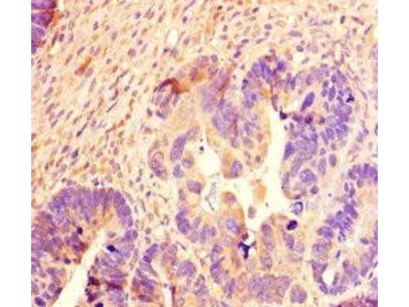
SCG2 抗体 (AA 31-617)

The 兔 多克隆 anti-SCG2 antibody (ABIN7168711) specifically detects SCG2 in IHC, ELISA 和 IF. The antibody is reactive with 人 samples.
产品编号 ABIN7168711
发货至: 中国
Contact our Customer Service for availability and price in your country. Contact Info

Our Local Distributor

中国
北京 101111
No. 88 KeChuang 6th Street
Beijing Economic Technological Development Area
Room 801-803
4A Biotech Co.,Ltd.
Tel +86 (0512) 65829739 传真 +86 (010) 6788 5057

Quick Overview for SCG2 抗体 (AA 31-617) (ABIN7168711)

抗原

See all SCG2 抗体
SCG2 (Secretogranin II (SCG2))

适用

  • 32
  • 19
  • 11
  • 3
  • 3
  • 3
  • 2
  • 2
  • 2
  • 2
  • 1
  • 1

宿主

  • 43
  • 4
  • 1

克隆类型

  • 45
  • 3
多克隆

标记

  • 31
  • 6
  • 4
  • 1
  • 1
  • 1
  • 1
  • 1
  • 1
  • 1
This SCG2 antibody is un-conjugated

应用范围

  • 35
  • 15
  • 10
  • 10
  • 10
  • 6
  • 3
  • 2
  • 1
  • 1
  • 1
  • 1
Immunohistochemistry (IHC), ELISA, Immunofluorescence (IF)
  • 抗原表位

    • 6
    • 5
    • 3
    • 3
    • 2
    • 2
    • 2
    • 2
    • 2
    • 1
    • 1
    • 1
    • 1
    • 1
    • 1
    • 1
    • 1
    • 1
    AA 31-617

    原理

    SCG2 Antibody

    纯化方法

    Protein G purified

    纯度

    >95 %

    免疫原

    Recombinant Human Secretogranin-2 protein (31-617AA)

    亚型

    IgG
  • 应用备注

    Optimal working dilution should be determined by the investigator.

    限制

    仅限研究用
  • 状态

    Liquid

    缓冲液

    Preservative: 0.03 % Proclin 300
    Constituents: 50 % Glycerol, 0.01M PBS, PH 7.4

    储存液

    ProClin

    注意事项

    This product contains ProClin: a POISONOUS AND HAZARDOUS SUBSTANCE which should be handled by trained staff only.

    储存条件

    -20 °C,-80 °C

    储存方法

    Upon receipt, store at -20°C or -80°C. Avoid repeated freeze.
  • 抗原

    SCG2 (Secretogranin II (SCG2))

    别名

    SCG2

    背景

    Background: Secretogranin-2 is a neuroendocrine secretory granule protein, which is the precursor for biologically active peptides.

    Aliases: CHGC antibody, Chromogranin C antibody, Chromogranin-C antibody, EM66 antibody, SCG2 antibody, SCG2_HUMAN antibody, Secretogranin II antibody, Secretogranin-2 antibody, Secretoneurin antibody, SGII antibody, SN antibody

    UniProt

    P13521
You are here: