电话:
+86 (0512) 65829739
传真:
+86 (010) 6788 5057
电子邮件:
orders@antibodies-online.cn

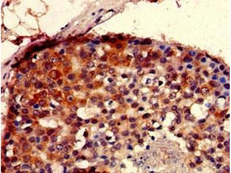
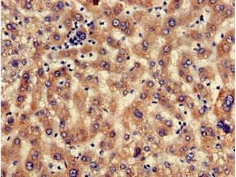
SEC23IP 抗体 (AA 779-989)

The 兔 多克隆 anti-SEC23IP antibody is suitable to detect SEC23IP in samples from 人. It has been validated for WB, ELISA, IF 和 IHC.
产品编号 ABIN7168659
发货至: 中国
Contact our Customer Service for availability and price in your country. Contact Info

Our Local Distributor

中国
北京 101111
No. 88 KeChuang 6th Street
Beijing Economic Technological Development Area
Room 801-803
4A Biotech Co.,Ltd.
Tel +86 (0512) 65829739 传真 +86 (010) 6788 5057

Quick Overview for SEC23IP 抗体 (AA 779-989) (ABIN7168659)

抗原

See all SEC23IP 抗体
SEC23IP (SEC23 Interacting Protein (SEC23IP))

适用

  • 33
  • 9
  • 9
  • 6
  • 6
  • 5
  • 5
  • 5
  • 2
  • 2
  • 2

宿主

  • 29
  • 4

克隆类型

  • 32
  • 1
多克隆

标记

  • 24
  • 3
  • 2
  • 2
  • 1
  • 1
This SEC23IP antibody is un-conjugated

应用范围

  • 28
  • 12
  • 9
  • 5
  • 3
  • 3
  • 2
  • 2
  • 1
Western Blotting (WB), ELISA, Immunofluorescence (IF), Immunohistochemistry (IHC)
  • 抗原表位

    • 9
    • 5
    • 4
    • 3
    • 2
    • 2
    • 1
    • 1
    • 1
    • 1
    • 1
    • 1
    • 1
    • 1
    AA 779-989

    原理

    SEC23IP Antibody

    纯化方法

    Protein G purified

    纯度

    >95 %

    免疫原

    Recombinant Human SEC23-interacting protein (779-989AA)

    亚型

    IgG
  • 应用备注

    Optimal working dilution should be determined by the investigator.

    限制

    仅限研究用
  • 状态

    Liquid

    缓冲液

    Preservative: 0.03 % Proclin 300
    Constituents: 50 % Glycerol, 0.01M PBS, pH 7.4

    储存液

    ProClin

    注意事项

    This product contains ProClin: a POISONOUS AND HAZARDOUS SUBSTANCE which should be handled by trained staff only.

    储存条件

    -20 °C,-80 °C

    储存方法

    Upon receipt, store at -20°C or -80°C. Avoid repeated freeze.
  • 抗原

    SEC23IP (SEC23 Interacting Protein (SEC23IP))

    别名

    SEC23IP

    背景

    Background: Plays a role in the organization of endoplasmic reticulum exit sites. Specifically binds to phosphatidylinositol 3-phosphate (PI(3)P), phosphatidylinositol 4-phosphate (PI(4)P) and phosphatidylinositol 5-phosphate (PI(5)P).

    Aliases: MSTP053 antibody, p125 antibody, P125A antibody, Phospholipase antibody, S23IP_HUMAN antibody, Sec23 interacting protein p125 antibody, SEC23-interacting protein antibody, SEC23IP antibody

    UniProt

    Q9Y6Y8
You are here: