电话:
+86 (0512) 65829739
传真:
+86 (010) 6788 5057
电子邮件:
orders@antibodies-online.cn

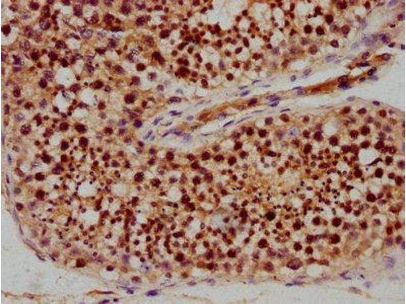
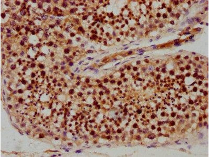
SAGE1 抗体 (AA 3-133)

This 兔 多克隆 antibody specifically detects SAGE1 in ELISA 和 IHC. It exhibits reactivity toward 人.
产品编号 ABIN7168592
发货至: 中国
Contact our Customer Service for availability and price in your country. Contact Info

Our Local Distributor

中国
北京 101111
No. 88 KeChuang 6th Street
Beijing Economic Technological Development Area
Room 801-803
4A Biotech Co.,Ltd.
Tel +86 (0512) 65829739 传真 +86 (010) 6788 5057

Quick Overview for SAGE1 抗体 (AA 3-133) (ABIN7168592)

抗原

SAGE1 (Sarcoma Antigen 1 (SAGE1))

适用

宿主

  • 4
  • 2

克隆类型

  • 5
  • 1
多克隆

标记

  • 3
  • 1
  • 1
  • 1
This SAGE1 antibody is un-conjugated

应用范围

  • 5
  • 3
  • 1
  • 1
  • 1
  • 1
ELISA, Immunohistochemistry (IHC)
  • 抗原表位

    • 3
    • 2
    • 1
    AA 3-133

    原理

    SAGE1 Antibody

    纯化方法

    Protein G purified

    纯度

    >95 %

    免疫原

    Recombinant Human Sarcoma antigen 1protein (3-133AA)

    亚型

    IgG
  • 应用备注

    Optimal working dilution should be determined by the investigator.

    限制

    仅限研究用
  • 状态

    Liquid

    缓冲液

    Preservative: 0.03 % Proclin 300
    Constituents: 50 % Glycerol, 0.01M PBS, pH 7.4

    储存液

    ProClin

    注意事项

    This product contains ProClin: a POISONOUS AND HAZARDOUS SUBSTANCE which should be handled by trained staff only.

    储存条件

    -20 °C,-80 °C

    储存方法

    Upon receipt, store at -20°C or -80°C. Avoid repeated freeze.
  • 抗原

    SAGE1 (Sarcoma Antigen 1 (SAGE1))

    别名

    SAGE1

    背景

    Cancer/testis antigen 14 antibody, CT14 antibody, RP11-97N5.1 antibody, SAGE antibody, SAGE1 antibody, SAGE1_HUMAN antibody, Sarcoma antigen 1 antibody

    UniProt

    Q9NXZ1
You are here: