电话:
+86 (0512) 65829739
传真:
+86 (010) 6788 5057
电子邮件:
orders@antibodies-online.cn

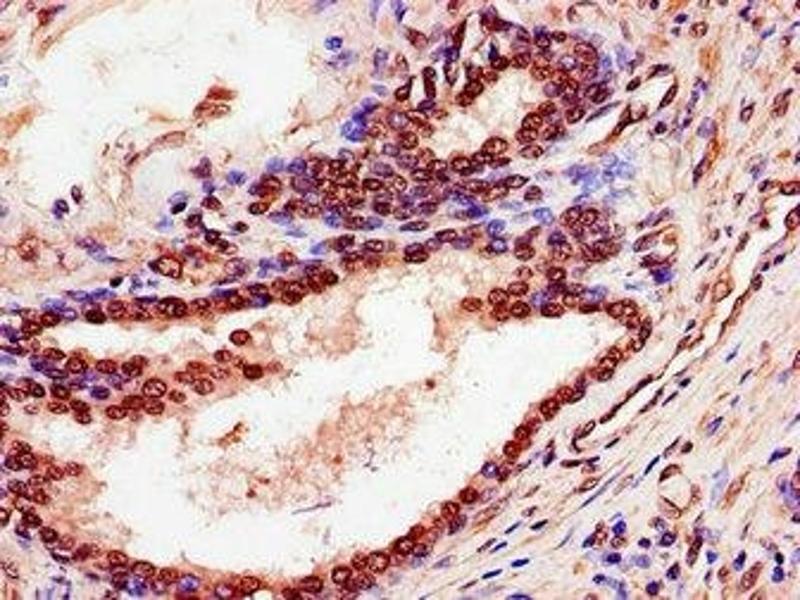
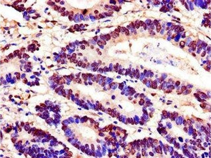
SPDEF/PSE 抗体 (AA 145-247)

The 兔 多克隆 anti-SPDEF/PSE antibody is suitable to detect SPDEF/PSE in samples from 人. It has been validated for ELISA, WB 和 IHC.
产品编号 ABIN7168587
发货至: 中国
Contact our Customer Service for availability and price in your country. Contact Info

Our Local Distributor

中国
北京 101111
No. 88 KeChuang 6th Street
Beijing Economic Technological Development Area
Room 801-803
4A Biotech Co.,Ltd.
Tel +86 (0512) 65829739 传真 +86 (010) 6788 5057

Quick Overview for SPDEF/PSE 抗体 (AA 145-247) (ABIN7168587)

抗原

See all SPDEF/PSE (SPDEF) 抗体
SPDEF/PSE (SPDEF) (Proximal Sequence Element 1 (SPDEF))

适用

  • 47
  • 24
  • 21
  • 6
  • 5
  • 4
  • 4
  • 4
  • 3
  • 3
  • 2
  • 1
  • 1
  • 1
  • 1
  • 1

宿主

  • 39
  • 8

克隆类型

  • 40
  • 6
多克隆

标记

  • 21
  • 3
  • 2
  • 2
  • 1
  • 1
  • 1
  • 1
  • 1
  • 1
  • 1
  • 1
  • 1
  • 1
  • 1
  • 1
  • 1
  • 1
  • 1
  • 1
  • 1
  • 1
  • 1
This SPDEF/PSE antibody is un-conjugated

应用范围

  • 20
  • 16
  • 15
  • 13
  • 13
  • 4
  • 3
  • 3
  • 2
  • 1
  • 1
ELISA, Western Blotting (WB), Immunohistochemistry (IHC)
  • 抗原表位

    • 16
    • 5
    • 3
    • 2
    • 1
    • 1
    • 1
    • 1
    • 1
    • 1
    • 1
    • 1
    • 1
    AA 145-247

    原理

    SPDEF Antibody

    交叉反应

    小鼠

    纯化方法

    Protein G purified

    纯度

    >95 %

    免疫原

    Recombinant Human SAM pointed domain-containing Ets transcription factor protein (145-247AA)

    亚型

    IgG
  • 应用备注

    Optimal working dilution should be determined by the investigator.

    限制

    仅限研究用
  • 状态

    Liquid

    缓冲液

    Preservative: 0.03 % Proclin 300
    Constituents: 50 % Glycerol, 0.01M PBS, PH 7.4

    储存液

    ProClin

    注意事项

    This product contains ProClin: a POISONOUS AND HAZARDOUS SUBSTANCE which should be handled by trained staff only.

    储存条件

    -20 °C,-80 °C

    储存方法

    Upon receipt, store at -20°C or -80°C. Avoid repeated freeze.
  • 抗原

    SPDEF/PSE (SPDEF) (Proximal Sequence Element 1 (SPDEF))

    别名

    SPDEF

    背景

    Background: May function as an androgen-independent transactivator of the prostate-specific antigen (PSA) promoter. Binds to 5\\\'-GGAT-3\\\' DNA sequences. May play a role in the regulation of the prostate gland and/or prostate cancer development. Acts as a transcriptional activator for SERPINB5 promoter.

    Aliases: bA375E1.3 antibody, PDEF antibody, Prostate derived Ets factor antibody, PROSTATE EPITHELIUM SPECIFIC ETS TRANSCRIPTION FACTOR antibody, Prostate epithelium-specific Ets transcription factor antibody, Prostate specific Ets antibody, Prostate-derived Ets factor antibody, Prostate-specific Ets antibody, PSE antibody, RP11-375E1__A.3 antibody, SAM POINTED DOMAIN CONTAINING ETS TRANSCRIPTION FACTOR antibody, SAM pointed domain-containing Ets transcription factor antibody, Spdef antibody, SPDEF_HUMAN antibody

    UniProt

    O95238
You are here: