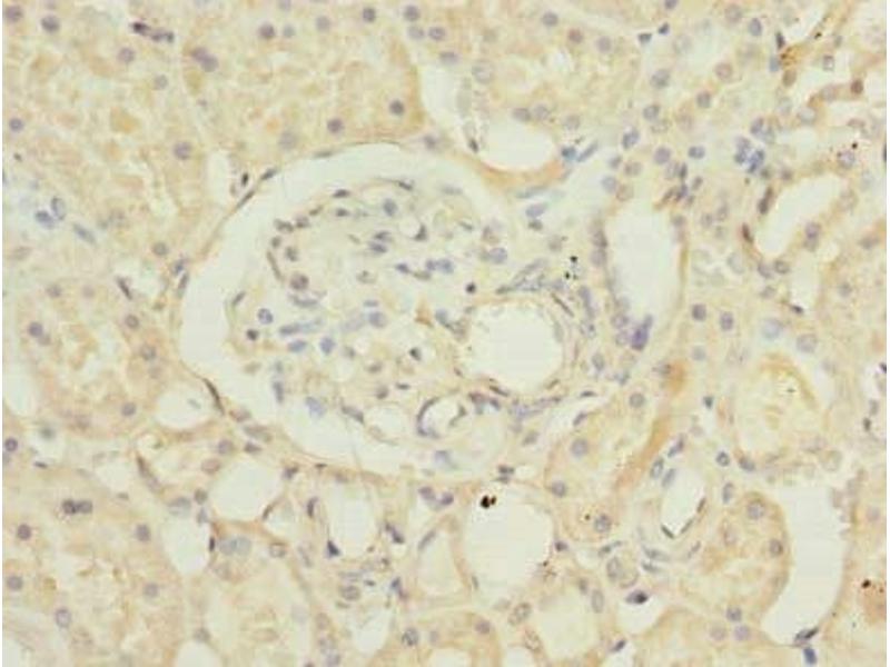
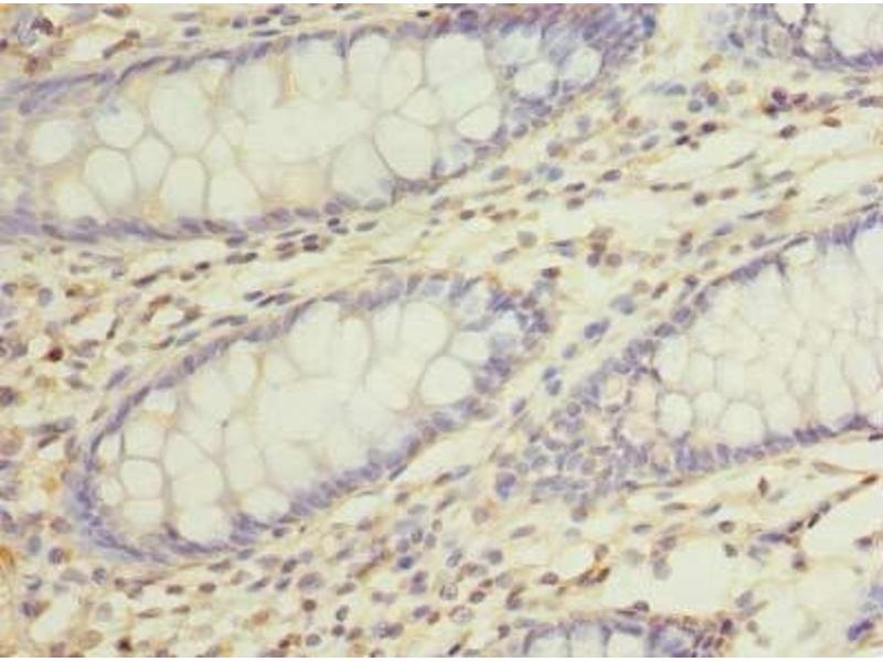
RUSC1 抗体 (AA 231-433)
Our Local Distributor
北京 101111
Quick Overview for RUSC1 抗体 (AA 231-433) (ABIN7168469)
抗原
See all RUSC1 抗体适用
宿主
克隆类型
标记
应用范围
-
-
抗原表位
- AA 231-433
-
原理
- RUSC1 Antibody
-
纯化方法
- Protein G purified
-
纯度
- >95 %
-
免疫原
- Recombinant Human RUN and SH3 domain-containing protein 1 protein (231-433AA)
-
亚型
- IgG
-
-
-
-
应用备注
- Optimal working dilution should be determined by the investigator.
-
限制
- 仅限研究用
-
-
-
状态
- Liquid
-
缓冲液
-
Preservative: 0.03 % Proclin 300
Constituents: 50 % Glycerol, 0.01M PBS, PH 7.4 -
储存液
- ProClin
-
注意事项
- This product contains ProClin: a POISONOUS AND HAZARDOUS SUBSTANCE which should be handled by trained staff only.
-
储存条件
- -20 °C,-80 °C
-
储存方法
- Upon receipt, store at -20°C or -80°C. Avoid repeated freeze.
-
-
- RUSC1 (RUN and SH3 Domain Containing 1 (RUSC1))
-
别名
- RUSC1
-
背景
-
Background: Putative signaling adapter which may play a role in neuronal differentiation. May be involved in regulation of NGF-dependent neurite outgrowth. Proposed to play a role in neuronal vesicular trafficking, specifically involving pre-synaptic membrane proteins. Seems to be involved in signaling pathways that are regulated by the prolonged activation of MAPK. Can regulate the polyubiquitination of IKBKG and thus may be involved in regulation of the NF-kappa-B pathway.
Aliases: RUSC1 antibody, NESCARUN and SH3 domain-containing protein 1 antibody, New molecule containing SH3 at the carboxy-terminus antibody, Nesca antibody
-
UniProt
- Q9BVN2
抗原
-