电话:
+86 (0512) 65829739
传真:
+86 (010) 6788 5057
电子邮件:
orders@antibodies-online.cn

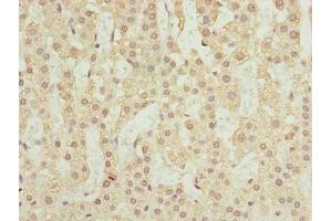
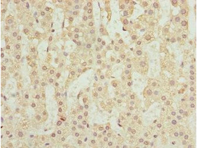
RUFY2 抗体 (AA 396-655)

This 兔 多克隆 antibody specifically detects RUFY2 in WB, ELISA 和 IHC. It exhibits reactivity toward 人.
产品编号 ABIN7168463
发货至: 中国
Contact our Customer Service for availability and price in your country. Contact Info

Our Local Distributor

中国
北京 101111
No. 88 KeChuang 6th Street
Beijing Economic Technological Development Area
Room 801-803
4A Biotech Co.,Ltd.
Tel +86 (0512) 65829739 传真 +86 (010) 6788 5057

Quick Overview for RUFY2 抗体 (AA 396-655) (ABIN7168463)

抗原

RUFY2 (RUN and FYVE Domain Containing 2 (RUFY2))

适用

  • 3
  • 2
  • 1

宿主

  • 3

克隆类型

  • 3
多克隆

标记

  • 3
This RUFY2 antibody is un-conjugated

应用范围

  • 3
  • 3
  • 2
  • 1
  • 1
  • 1
Western Blotting (WB), ELISA, Immunohistochemistry (IHC)
  • 抗原表位

    • 1
    • 1
    AA 396-655

    原理

    RUFY2 Antibody

    交叉反应

    小鼠

    纯化方法

    Antigen Affinity Purified

    免疫原

    Recombinant Human RUN and FYVE domain-containing protein 2 protein (396-655AA)

    亚型

    IgG
  • 应用备注

    Optimal working dilution should be determined by the investigator.

    限制

    仅限研究用
  • 状态

    Liquid

    缓冲液

    PBS with 0.02 % sodium azide, 50 % glycerol, pH 7.3.

    储存液

    Sodium azide

    注意事项

    This product contains Sodium azide: a POISONOUS AND HAZARDOUS SUBSTANCE which should be handled by trained staff only.

    储存条件

    -20 °C,-80 °C

    储存方法

    Upon receipt, store at -20°C or -80°C. Avoid repeated freeze.
  • 抗原

    RUFY2 (RUN and FYVE Domain Containing 2 (RUFY2))

    别名

    RUFY2

    背景

    RUFY2 antibody, KIAA1537 antibody, RABIP4R antibody, RUN and FYVE domain-containing protein 2 antibody, Rab4-interacting protein related antibody

    UniProt

    Q8WXA3
You are here: