电话:
+86 (0512) 65829739
传真:
+86 (010) 6788 5057
电子邮件:
orders@antibodies-online.cn

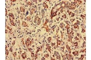
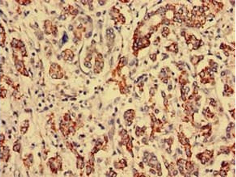
RTCD1 抗体 (AA 167-379)

The 兔 多克隆 anti-RTCD1 antibody is suitable to detect RTCD1 in samples from 人. It has been validated for ELISA 和 IHC.
产品编号 ABIN7168269
发货至: 中国
Contact our Customer Service for availability and price in your country. Contact Info

Our Local Distributor

中国
北京 101111
No. 88 KeChuang 6th Street
Beijing Economic Technological Development Area
Room 801-803
4A Biotech Co.,Ltd.
Tel +86 (0512) 65829739 传真 +86 (010) 6788 5057

Quick Overview for RTCD1 抗体 (AA 167-379) (ABIN7168269)

抗原

See all RTCD1 抗体
RTCD1 (RNA terminal Phosphate Cyclase Domain 1 (RTCD1))

适用

  • 20
  • 8
  • 8
  • 3
  • 3
  • 2
  • 2
  • 2
  • 2
  • 2
  • 1
  • 1
  • 1

宿主

  • 18
  • 2

克隆类型

  • 20
多克隆

标记

  • 16
  • 2
  • 1
  • 1
This RTCD1 antibody is un-conjugated

应用范围

  • 15
  • 10
  • 5
  • 5
  • 2
  • 1
  • 1
ELISA, Immunohistochemistry (IHC)
  • 抗原表位

    • 4
    • 3
    • 2
    • 2
    • 1
    • 1
    • 1
    • 1
    • 1
    • 1
    • 1
    AA 167-379

    原理

    RTCA Antibody

    纯化方法

    Protein G purified

    纯度

    >95 %

    免疫原

    Recombinant Human RNA 3\'-terminal phosphate cyclase protein (167-379AA)

    亚型

    IgG
  • 应用备注

    Optimal working dilution should be determined by the investigator.

    限制

    仅限研究用
  • 状态

    Liquid

    缓冲液

    Preservative: 0.03 % Proclin 300
    Constituents: 50 % Glycerol, 0.01M PBS, PH 7.4

    储存液

    ProClin

    注意事项

    This product contains ProClin: a POISONOUS AND HAZARDOUS SUBSTANCE which should be handled by trained staff only.

    储存条件

    -20 °C,-80 °C

    储存方法

    Upon receipt, store at -20°C or -80°C. Avoid repeated freeze.
  • 抗原

    RTCD1 (RNA terminal Phosphate Cyclase Domain 1 (RTCD1))

    别名

    RTCA

    背景

    Background: Catalyzes the conversion of 3\'-phosphate to a 2\',3\'-cyclic phosphodiester at the end of RNA. The mechanism of action of the enzyme occurs in 3 steps: (A) adenylation of the enzyme by ATP, (B) transfer of adenylate to an RNA-N3\'P to produce RNA-N3\'PP5\'A, (C) and attack of the adjacent 2\'-hydroxyl on the 3\'-phosphorus in the diester linkage to produce the cyclic end product. The biological role of this enzyme is unknown but it is likely to function in some aspects of cellular RNA processing.

    Aliases: RTCA antibody, RPC antibody, RPC1 antibody, RTC1 antibody, RTCD1 antibody, RNA 3'-terminal phosphate cyclase antibody, RNA cyclase antibody, RNA-3'-phosphate cyclase antibody, EC 6.5.1.4 antibody, RNA terminal phosphate cyclase domain-containing protein 1 antibody, RTC domain-containing protein 1 antibody

    UniProt

    O00442
You are here: