电话:
+86 (0512) 65829739
传真:
+86 (010) 6788 5057
电子邮件:
orders@antibodies-online.cn

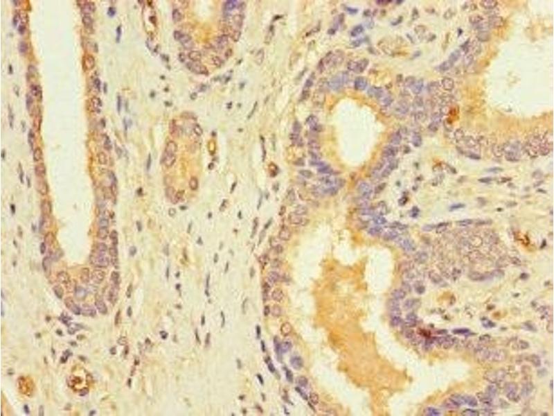
Riboflavin Kinase 抗体 (AA 1-154)

This 兔 多克隆 antibody specifically detects Riboflavin Kinase in ELISA, IHC 和 IF. It exhibits reactivity toward 人.
产品编号 ABIN7168091
发货至: 中国
Contact our Customer Service for availability and price in your country. Contact Info

Our Local Distributor

中国
北京 101111
No. 88 KeChuang 6th Street
Beijing Economic Technological Development Area
Room 801-803
4A Biotech Co.,Ltd.
Tel +86 (0512) 65829739 传真 +86 (010) 6788 5057

Quick Overview for Riboflavin Kinase 抗体 (AA 1-154) (ABIN7168091)

抗原

See all Riboflavin Kinase (RFK) 抗体
Riboflavin Kinase (RFK)

适用

  • 32
  • 2
  • 1
  • 1
  • 1
  • 1
  • 1
  • 1

宿主

  • 29
  • 3

克隆类型

  • 31
  • 1
多克隆

标记

  • 12
  • 4
  • 3
  • 2
  • 2
  • 2
  • 1
  • 1
  • 1
  • 1
  • 1
  • 1
  • 1
This Riboflavin Kinase antibody is un-conjugated

应用范围

  • 12
  • 11
  • 10
  • 5
  • 5
  • 3
  • 3
  • 2
  • 2
  • 1
  • 1
ELISA, Immunohistochemistry (IHC), Immunofluorescence (IF)
  • 抗原表位

    • 7
    • 7
    • 4
    • 2
    • 1
    • 1
    • 1
    AA 1-154

    原理

    RFK Antibody

    纯化方法

    Protein G purified

    纯度

    >95 %

    免疫原

    Recombinant Human Riboflavin kinase protein (1-154AA)

    亚型

    IgG
  • 应用备注

    Optimal working dilution should be determined by the investigator.

    限制

    仅限研究用
  • 状态

    Liquid

    缓冲液

    Preservative: 0.03 % Proclin 300
    Constituents: 50 % Glycerol, 0.01M PBS, PH 7.4

    储存液

    ProClin

    注意事项

    This product contains ProClin: a POISONOUS AND HAZARDOUS SUBSTANCE which should be handled by trained staff only.

    储存条件

    -20 °C,-80 °C

    储存方法

    Upon receipt, store at -20°C or -80°C. Avoid repeated freeze.
  • 抗原

    Riboflavin Kinase (RFK)

    别名

    RFK

    背景

    Background: Catalyzes the phosphorylation of riboflavin (vitamin B2) to form flavin-mononucleotide (FMN), hence rate-limiting enzyme in the synthesis of FAD. Essential for TNF-induced reactive oxygen species (ROS) production. Through its interaction with both TNFRSF1A and CYBA, physically and functionally couples TNFRSF1A to NADPH oxidase. TNF-activation of RFK may enhance the incorporation of FAD in NADPH oxidase, a critical step for the assembly and activation of NADPH oxidase.

    Aliases: 0610038L10Rik antibody, AF031381 antibody, ATP:riboflavin 5' phosphotransferase antibody, ATP:riboflavin 5''-phosphotransferase antibody, Flavokinase antibody, FLJ11149 antibody, KOI 4 antibody, Rfk antibody, Riboflavin kinase antibody, RIFK antibody, RIFK_HUMAN antibody, RP11-422N19.2 antibody

    UniProt

    Q969G6
You are here: