电话:
+86 (0512) 65829739
传真:
+86 (010) 6788 5057
电子邮件:
orders@antibodies-online.cn

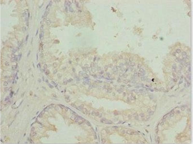
RFPL2 抗体 (AA 99-378)

The 兔 多克隆 anti-RFPL2 antibody is suitable to detect RFPL2 in samples from 人. It has been validated for WB, ELISA 和 IHC.
产品编号 ABIN7167729
发货至: 中国
Contact our Customer Service for availability and price in your country. Contact Info

Our Local Distributor

中国
北京 101111
No. 88 KeChuang 6th Street
Beijing Economic Technological Development Area
Room 801-803
4A Biotech Co.,Ltd.
Tel +86 (0512) 65829739 传真 +86 (010) 6788 5057

Quick Overview for RFPL2 抗体 (AA 99-378) (ABIN7167729)

抗原

RFPL2 (Ret Finger Protein-Like 2 (RFPL2))

适用

  • 9
  • 2
  • 2
  • 1

宿主

  • 8
  • 1

克隆类型

  • 9
多克隆

标记

  • 9
This RFPL2 antibody is un-conjugated

应用范围

Western Blotting (WB), ELISA, Immunohistochemistry (IHC)
  • 抗原表位

    • 4
    • 1
    • 1
    AA 99-378

    原理

    RFPL2 Antibody

    纯化方法

    Antigen Affinity Purified

    免疫原

    Recombinant Human Ret finger protein-like 2 protein (99-378AA)

    亚型

    IgG
  • 应用备注

    Optimal working dilution should be determined by the investigator.

    限制

    仅限研究用
  • 状态

    Liquid

    缓冲液

    PBS with 0.02 % sodium azide, 50 % glycerol, pH 7.3.

    储存液

    Sodium azide

    注意事项

    This product contains Sodium azide: a POISONOUS AND HAZARDOUS SUBSTANCE which should be handled by trained staff only.

    储存条件

    -20 °C,-80 °C

    储存方法

    Upon receipt, store at -20°C or -80°C. Avoid repeated freeze.
  • 抗原

    RFPL2 (Ret Finger Protein-Like 2 (RFPL2))

    别名

    RFPL2

    背景

    Ret finger protein like 2 antibody, Ret finger protein-like 2 antibody, RFPL 2 antibody, RFPL2 antibody, RFPL2_HUMAN antibody, RING finger protein 79 antibody, RNF79 antibody

    UniProt

    O75678
You are here: