电话:
+86 (0512) 65829739
传真:
+86 (010) 6788 5057
电子邮件:
orders@antibodies-online.cn

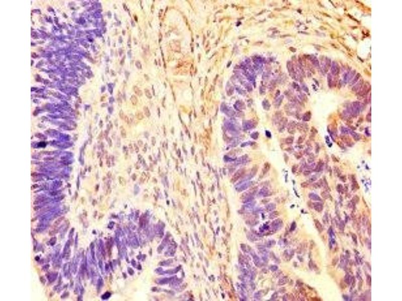
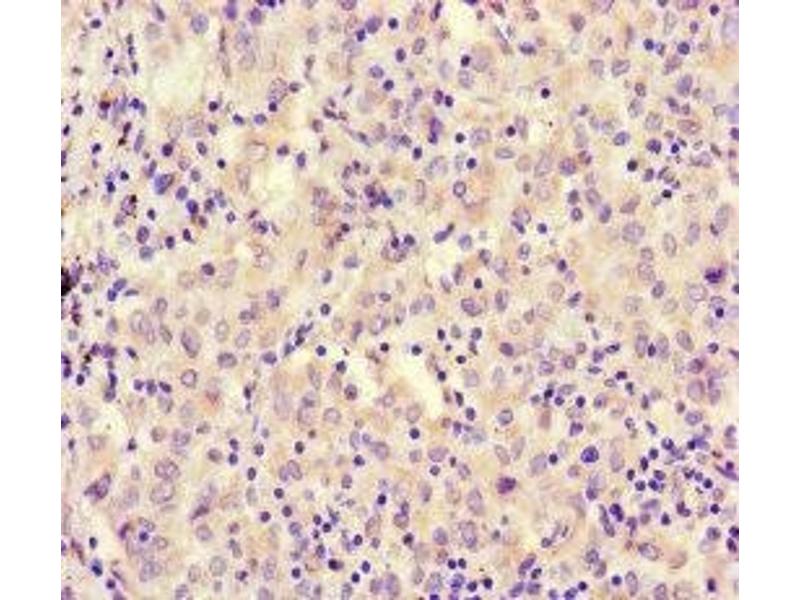
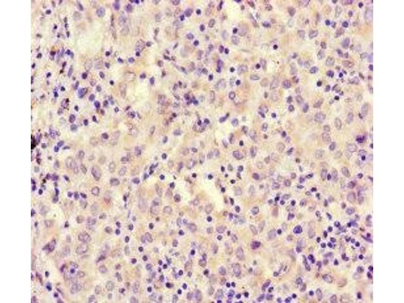
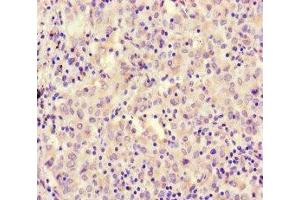
CoREST 抗体 (AA 394-482)

The 兔 多克隆 anti-CoREST antibody (ABIN7167721) specifically detects CoREST in IHC 和 ELISA. The antibody is reactive with 人 samples.
产品编号 ABIN7167721
发货至: 中国
Contact our Customer Service for availability and price in your country. Contact Info

Our Local Distributor

中国
北京 101111
No. 88 KeChuang 6th Street
Beijing Economic Technological Development Area
Room 801-803
4A Biotech Co.,Ltd.
Tel +86 (0512) 65829739 传真 +86 (010) 6788 5057

Quick Overview for CoREST 抗体 (AA 394-482) (ABIN7167721)

抗原

See all CoREST (RCOR1) 抗体
CoREST (RCOR1) (REST Corepressor 1 (RCOR1))

适用

  • 56
  • 20
  • 14
  • 4
  • 3
  • 3
  • 2
  • 2
  • 1
  • 1

宿主

  • 49
  • 7
  • 1

克隆类型

  • 37
  • 20
多克隆

标记

  • 29
  • 3
  • 3
  • 2
  • 2
  • 2
  • 2
  • 2
  • 2
  • 2
  • 1
  • 1
  • 1
  • 1
  • 1
  • 1
  • 1
  • 1
This CoREST antibody is un-conjugated

应用范围

  • 41
  • 28
  • 19
  • 15
  • 14
  • 5
  • 5
  • 2
  • 2
  • 1
  • 1
Immunohistochemistry (IHC), ELISA
  • 抗原表位

    • 8
    • 8
    • 5
    • 5
    • 4
    • 1
    • 1
    • 1
    • 1
    AA 394-482

    原理

    RCOR1 Antibody

    纯化方法

    Protein G purified

    纯度

    >95 %

    免疫原

    Recombinant Human REST corepressor 1 protein (394-482AA)

    亚型

    IgG
  • 应用备注

    Optimal working dilution should be determined by the investigator.

    限制

    仅限研究用
  • 状态

    Liquid

    缓冲液

    Preservative: 0.03 % Proclin 300
    Constituents: 50 % Glycerol, 0.01M PBS, PH 7.4

    储存液

    ProClin

    注意事项

    This product contains ProClin: a POISONOUS AND HAZARDOUS SUBSTANCE which should be handled by trained staff only.

    储存条件

    -20 °C,-80 °C

    储存方法

    Upon receipt, store at -20°C or -80°C. Avoid repeated freeze.
  • 抗原

    CoREST (RCOR1) (REST Corepressor 1 (RCOR1))

    别名

    RCOR1

    背景

    Background: Essential component of the BHC complex, a corepressor complex that represses transcription of neuron-specific genes in non-neuronal cells. The BHC complex is recruited at RE1/NRSE sites by REST and acts by deacetylating and demethylating specific sites on histones, thereby acting as a chromatin modifier. In the BHC complex, it serves as a molecular beacon for the recruitment of molecular machinery, including MeCP2 and SUV39H1, that imposes silencing across a chromosomal interval. Plays a central role in demethylation of Lys-4 of histone H3 by promoting demethylase activity of KDM1A on core histones and nucleosomal substrates. It also protects KDM1A from the proteasome. Component of a RCOR/GFI/KDM1A/HDAC complex that suppresses, via histone deacetylase (HDAC) recruitment, a number of genes implicated in multilineage blood cell development and controls hematopoietic differentiation.

    Aliases: COREST antibody, KIAA0071 antibody, Nr2b2 antibody, Nuclear receptor coregulator 1 antibody, Nuclear receptor subfamily 2 group B member 2 antibody, Protein CoREST antibody, RCOR antibody, Rcor1 antibody, RCOR1_HUMAN antibody, REST corepressor 1 antibody, Retinoic acid receptor RXR-beta antibody, Retinoid X receptor beta antibody, Rxrb antibody

    UniProt

    Q9UKL0

    途径

    Regulation of Hormone Metabolic Process, Chromatin Binding
You are here: