电话:
+86 (0512) 65829739
传真:
+86 (010) 6788 5057
电子邮件:
orders@antibodies-online.cn

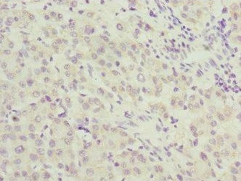
RENT2/UPF2 抗体 (AA 1153-1272)

The 兔 多克隆 anti-RENT2/UPF2 antibody (ABIN7167643) specifically detects RENT2/UPF2 in IHC 和 ELISA. The antibody is reactive with 人 samples.
产品编号 ABIN7167643
发货至: 中国
Contact our Customer Service for availability and price in your country. Contact Info

Our Local Distributor

中国
北京 101111
No. 88 KeChuang 6th Street
Beijing Economic Technological Development Area
Room 801-803
4A Biotech Co.,Ltd.
Tel +86 (0512) 65829739 传真 +86 (010) 6788 5057

Quick Overview for RENT2/UPF2 抗体 (AA 1153-1272) (ABIN7167643)

抗原

See all RENT2/UPF2 (UPF2) 抗体
RENT2/UPF2 (UPF2) (UPF2 Regulator of Nonsense Transcripts 2 (UPF2))

适用

  • 20
  • 6
  • 6
  • 2
  • 1
  • 1
  • 1
  • 1
  • 1

宿主

  • 20

克隆类型

  • 20
多克隆

标记

  • 15
  • 1
  • 1
  • 1
  • 1
  • 1
This RENT2/UPF2 antibody is un-conjugated

应用范围

  • 19
  • 10
  • 8
  • 5
  • 2
  • 2
  • 1
  • 1
Immunohistochemistry (IHC), ELISA
  • 抗原表位

    • 7
    • 2
    • 2
    • 1
    • 1
    • 1
    • 1
    • 1
    • 1
    • 1
    • 1
    AA 1153-1272

    原理

    UPF2 Antibody

    纯化方法

    Antigen Affinity Purified

    免疫原

    Recombinant Human Regulator of nonsense transcripts 2 protein (1153-1272AA)

    亚型

    IgG
  • 应用备注

    Optimal working dilution should be determined by the investigator.

    限制

    仅限研究用
  • 状态

    Liquid

    缓冲液

    PBS with 0.02 % sodium azide, 50 % glycerol, pH 7.3.

    储存液

    Sodium azide

    注意事项

    This product contains Sodium azide: a POISONOUS AND HAZARDOUS SUBSTANCE which should be handled by trained staff only.

    储存条件

    -20 °C,-80 °C

    储存方法

    Upon receipt, store at -20°C or -80°C. Avoid repeated freeze.
  • 抗原

    RENT2/UPF2 (UPF2) (UPF2 Regulator of Nonsense Transcripts 2 (UPF2))

    别名

    UPF2

    背景

    Background: Involved in nonsense-mediated decay (NMD) of mRNAs containing premature stop codons by associating with the nuclear exon junction complex (EJC). Recruited by UPF3B associated with the EJC core at the cytoplasmic side of the nuclear envelope and the subsequent formation of an UPF1-UPF2-UPF3 surveillance complex (including UPF1 bound to release factors at the stalled ribosome) is believed to activate NMD. In cooperation with UPF3B stimulates both ATPase and RNA helicase activities of UPF1. Binds spliced mRNA.

    Aliases: DKFZp434D222 antibody, hUpf2 antibody, KIAA1408 antibody, MGC138834 antibody, MGC138835 antibody, Nonsense mRNA reducing factor 2 antibody, Regulator of nonsense transcripts 2 antibody, RENT2 antibody, RENT2_HUMAN antibody, Smg 3 antibody, Smg 3 homolog nonsense mediated mRNA decay factor antibody, Up-frameshift suppressor 2 homolog antibody, UPF2 antibody, UPF2 regulator of nonsense transcripts homolog antibody, UROC1 antibody, Urocanate hydratase antibody, Yeast Upf2p homolog antibody

    UniProt

    Q9HAU5
You are here: