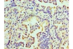
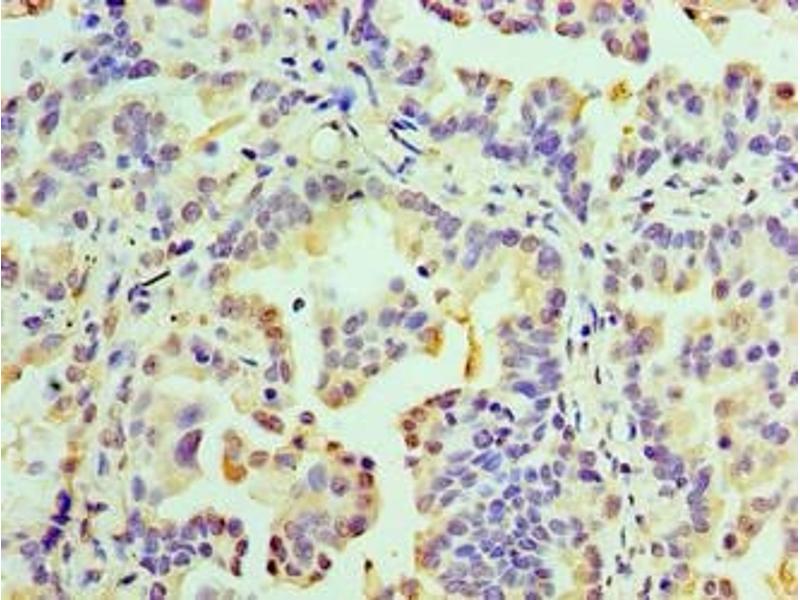
RMDN3 抗体 (AA 1-470)
Our Local Distributor
北京 101111
Quick Overview for RMDN3 抗体 (AA 1-470) (ABIN7167634)
抗原
See all RMDN3 (FAM82A2) 抗体适用
宿主
克隆类型
标记
应用范围
-
-
抗原表位
- AA 1-470
-
原理
- RMDN3 Antibody
-
纯化方法
- Protein G purified
-
纯度
- >95 %
-
免疫原
- Recombinant Human Regulator of microtubule dynamics protein 3 protein (1-470AA)
-
亚型
- IgG
-
-
-
-
应用备注
- Optimal working dilution should be determined by the investigator.
-
限制
- 仅限研究用
-
-
-
状态
- Liquid
-
缓冲液
-
Preservative: 0.03 % Proclin 300
Constituents: 50 % Glycerol, 0.01M PBS, PH 7.4 -
储存液
- ProClin
-
注意事项
- This product contains ProClin: a POISONOUS AND HAZARDOUS SUBSTANCE which should be handled by trained staff only.
-
储存条件
- -20 °C,-80 °C
-
储存方法
- Upon receipt, store at -20°C or -80°C. Avoid repeated freeze.
-
-
- RMDN3 (FAM82A2) (Family with Sequence Similarity 82, Member A2 (FAM82A2))
-
别名
- RMDN3
-
背景
-
Background: Involved in cellular calcium homeostasis regulation. May participate in differentiation and apoptosis of keratinocytes. Overexpression induces apoptosis.
Aliases: RMDN3 antibody, FAM82A2 antibody, FAM82C antibody, PTPIP51 antibody, hucep-10 antibody, UNQ3122/PRO10274 antibody, Regulator of microtubule dynamics protein 3 antibody, RMD-3 antibody, hRMD-3 antibody, Cerebral protein 10 antibody, Protein FAM82A2 antibody, Protein FAM82C antibody, Protein tyrosine phosphatase-interacting protein 51 antibody, TCPTP-interacting protein 51 antibody
-
UniProt
- Q96TC7
抗原
-