电话:
+86 (0512) 65829739
传真:
+86 (010) 6788 5057
电子邮件:
orders@antibodies-online.cn

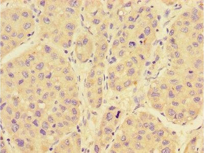
RAB28 抗体 (AA 98-218)

The 兔 多克隆 anti-RAB28 antibody (ABIN7167280) specifically detects RAB28 in ELISA, IHC 和 IF. The antibody is reactive with 人 samples.
产品编号 ABIN7167280
发货至: 中国
Contact our Customer Service for availability and price in your country. Contact Info

Our Local Distributor

中国
北京 101111
No. 88 KeChuang 6th Street
Beijing Economic Technological Development Area
Room 801-803
4A Biotech Co.,Ltd.
Tel +86 (0512) 65829739 传真 +86 (010) 6788 5057

Quick Overview for RAB28 抗体 (AA 98-218) (ABIN7167280)

抗原

See all RAB28 抗体
RAB28 (RAB28, Member RAS Oncogene Family (RAB28))

适用

  • 30
  • 12
  • 12
  • 2
  • 2
  • 2
  • 2
  • 2
  • 2
  • 2
  • 2
  • 2
  • 2
  • 2
  • 2
  • 2
  • 1

宿主

  • 25
  • 3
  • 2

克隆类型

  • 29
  • 1
多克隆

标记

  • 14
  • 3
  • 3
  • 2
  • 1
  • 1
  • 1
  • 1
  • 1
  • 1
  • 1
  • 1
This RAB28 antibody is un-conjugated

应用范围

  • 18
  • 15
  • 2
  • 1
  • 1
  • 1
ELISA, Immunohistochemistry (IHC), Immunofluorescence (IF)
You are here: