电话:
+86 (0512) 65829739
传真:
+86 (010) 6788 5057
电子邮件:
orders@antibodies-online.cn

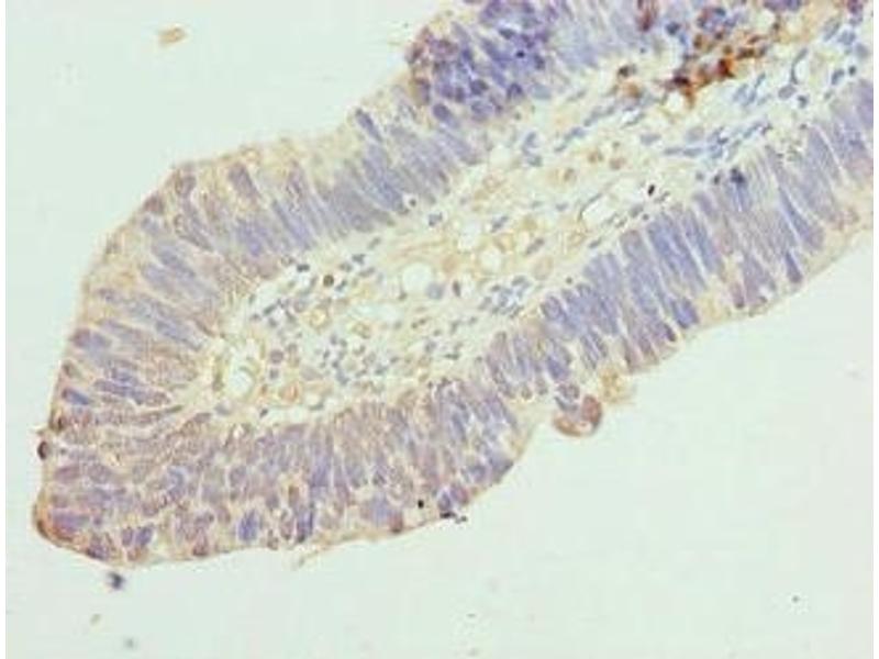
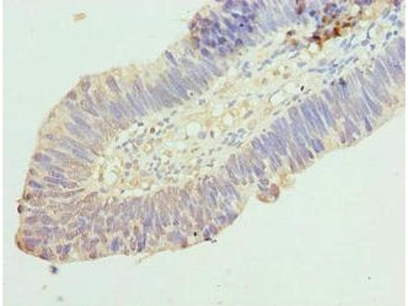
RINT1 抗体 (AA 401-700)

The 兔 多克隆 anti-RINT1 antibody is suitable to detect RINT1 in samples from 人. It has been validated for ELISA 和 IHC.
产品编号 ABIN7167036
发货至: 中国
Contact our Customer Service for availability and price in your country. Contact Info

Our Local Distributor

中国
北京 101111
No. 88 KeChuang 6th Street
Beijing Economic Technological Development Area
Room 801-803
4A Biotech Co.,Ltd.
Tel +86 (0512) 65829739 传真 +86 (010) 6788 5057

Quick Overview for RINT1 抗体 (AA 401-700) (ABIN7167036)

抗原

See all RINT1 抗体
RINT1 (RAD50 Interactor 1 (RINT1))

适用

  • 17
  • 13
  • 4
  • 1
  • 1
  • 1

宿主

  • 26
  • 2

克隆类型

  • 28
多克隆

标记

  • 10
  • 3
  • 2
  • 2
  • 1
  • 1
  • 1
  • 1
  • 1
  • 1
  • 1
  • 1
  • 1
  • 1
  • 1
This RINT1 antibody is un-conjugated

应用范围

  • 24
  • 13
  • 13
  • 10
  • 3
  • 3
  • 2
  • 1
ELISA, Immunohistochemistry (IHC)
  • 抗原表位

    • 15
    • 4
    • 2
    • 2
    • 1
    • 1
    • 1
    AA 401-700

    原理

    RINT1 Antibody

    纯化方法

    Protein G purified

    纯度

    >95 %

    免疫原

    Recombinant Human RAD50-interacting protein 1 protein (401-700AA)

    亚型

    IgG
  • 应用备注

    Optimal working dilution should be determined by the investigator.

    限制

    仅限研究用
  • 状态

    Liquid

    缓冲液

    Preservative: 0.03 % Proclin 300
    Constituents: 50 % Glycerol, 0.01M PBS, PH 7.4

    储存液

    ProClin

    注意事项

    This product contains ProClin: a POISONOUS AND HAZARDOUS SUBSTANCE which should be handled by trained staff only.

    储存条件

    -20 °C,-80 °C

    储存方法

    Upon receipt, store at -20°C or -80°C. Avoid repeated freeze.
  • 抗原

    RINT1 (RAD50 Interactor 1 (RINT1))

    别名

    RINT1

    背景

    Background: Involved in regulation of membrane traffic between the Golgi and the endoplasmic reticulum (ER), the function is proposed to depend on its association in the NRZ complex which is believed to play a role in SNARE assembly at the ER. May play a role in cell cycle checkpoint control (PubMed:11096100). Essential for telomere length control (PubMed:16600870).

    Aliases: DKFZp667H2324 antibody, FLJ11785 antibody, HsRINT 1 antibody, HsRINT-1 antibody, HsRINT1 antibody, RAD50 interacting protein 1 antibody, RAD50 interactor 1 antibody, RAD50-interacting protein 1 antibody, RINT 1 antibody, RINT-1 antibody, RINT1 antibody, RINT1_HUMAN antibody

    UniProt

    Q6NUQ1
You are here: