电话:
+86 (0512) 65829739
传真:
+86 (010) 6788 5057
电子邮件:
orders@antibodies-online.cn

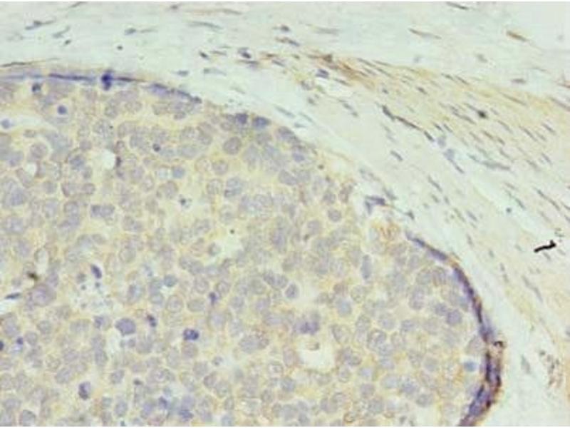
GTPBP6 抗体 (AA 146-295)

The 兔 多克隆 anti-GTPBP6 antibody (ABIN7166707) specifically detects GTPBP6 in ELISA, WB 和 IHC. The antibody is reactive with 人 samples.
产品编号 ABIN7166707
发货至: 中国
Contact our Customer Service for availability and price in your country. Contact Info

Our Local Distributor

中国
北京 101111
No. 88 KeChuang 6th Street
Beijing Economic Technological Development Area
Room 801-803
4A Biotech Co.,Ltd.
Tel +86 (0512) 65829739 传真 +86 (010) 6788 5057

Quick Overview for GTPBP6 抗体 (AA 146-295) (ABIN7166707)

抗原

See all GTPBP6 抗体
GTPBP6 (GTP Binding Protein 6 (Putative) (GTPBP6))

适用

  • 7
  • 1

宿主

  • 6
  • 1

克隆类型

  • 7
多克隆

标记

  • 3
  • 2
  • 1
  • 1
This GTPBP6 antibody is un-conjugated

应用范围

ELISA, Western Blotting (WB), Immunohistochemistry (IHC)
  • 抗原表位

    • 4
    • 1
    • 1
    AA 146-295

    原理

    GTPBP6 Antibody

    纯化方法

    Protein G purified

    纯度

    >95 %

    免疫原

    Recombinant Human Putative GTP-binding protein 6 protein (146-295AA)

    亚型

    IgG
  • 应用备注

    Optimal working dilution should be determined by the investigator.

    限制

    仅限研究用
  • 状态

    Liquid

    缓冲液

    Preservative: 0.03 % Proclin 300
    Constituents: 50 % Glycerol, 0.01M PBS, PH 7.4

    储存液

    ProClin

    注意事项

    This product contains ProClin: a POISONOUS AND HAZARDOUS SUBSTANCE which should be handled by trained staff only.

    储存条件

    -20 °C,-80 °C

    储存方法

    Upon receipt, store at -20°C or -80°C. Avoid repeated freeze.
  • 抗原

    GTPBP6 (GTP Binding Protein 6 (Putative) (GTPBP6))

    别名

    GTPBP6

    背景

    GTP binding protein 6 (putative) antibody, GTPB6_HUMAN antibody, gtpbp6 antibody, PGPL antibody, Pseudoautosomal GTP-binding protein-like antibody, Putative GTP-binding protein 6 antibody

    UniProt

    O43824
You are here: