电话:
+86 (0512) 65829739
传真:
+86 (010) 6788 5057
电子邮件:
orders@antibodies-online.cn

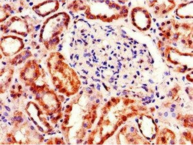
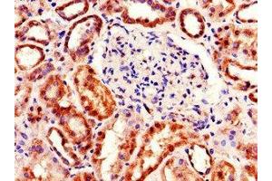
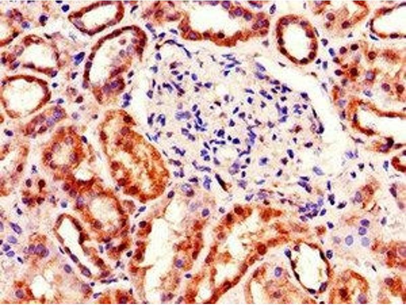
TDRD12 抗体 (AA 991-1164)

The 兔 多克隆 anti-TDRD12 antibody is suitable to detect TDRD12 in samples from 人. It has been validated for ELISA 和 IHC.
产品编号 ABIN7166667
发货至: 中国
Contact our Customer Service for availability and price in your country. Contact Info

Our Local Distributor

中国
北京 101111
No. 88 KeChuang 6th Street
Beijing Economic Technological Development Area
Room 801-803
4A Biotech Co.,Ltd.
Tel +86 (0512) 65829739 传真 +86 (010) 6788 5057

Quick Overview for TDRD12 抗体 (AA 991-1164) (ABIN7166667)

抗原

TDRD12 (Tudor Domain Containing 12 (TDRD12))

适用

  • 6
  • 1
  • 1
  • 1

宿主

  • 6

克隆类型

  • 6
多克隆

标记

  • 2
  • 2
  • 1
  • 1
This TDRD12 antibody is un-conjugated

应用范围

ELISA, Immunohistochemistry (IHC)
  • 抗原表位

    • 4
    • 1
    • 1
    AA 991-1164

    原理

    TDRD12 Antibody

    纯化方法

    Protein G purified

    纯度

    >95 %

    免疫原

    Recombinant Human Putative ATP-dependent RNA helicase TDRD12 protein (991-1164AA)

    亚型

    IgG
  • 应用备注

    Optimal working dilution should be determined by the investigator.

    限制

    仅限研究用
  • 状态

    Liquid

    缓冲液

    Preservative: 0.03 % Proclin 300
    Constituents: 50 % Glycerol, 0.01M PBS, PH 7.4

    储存液

    ProClin

    注意事项

    This product contains ProClin: a POISONOUS AND HAZARDOUS SUBSTANCE which should be handled by trained staff only.

    储存条件

    -20 °C,-80 °C

    储存方法

    Upon receipt, store at -20°C or -80°C. Avoid repeated freeze.
  • 抗原

    TDRD12 (Tudor Domain Containing 12 (TDRD12))

    别名

    TDRD12

    背景

    Background: Probable ATP-binding RNA helicase required during spermatogenesis to repress transposable elements and preventing their mobilization, which is essential for the germline integrity. Acts via the piRNA metabolic process, which mediates the repression of transposable elements during meiosis by forming complexes composed of piRNAs and Piwi proteins and governs the methylation and subsequent repression of transposons. Involved in the secondary piRNAs metabolic process. Acts via the PET complex, a multiprotein complex required during the secondary piRNAs metabolic process for the PIWIL2 slicing-triggered loading of PIWIL4 piRNAs.

    Aliases: ECAT8 antibody, ES cell associated transcript 8 antibody, ES cell-associated transcript 8 protein antibody, TDR12_HUMAN antibody, Tdrd12 antibody, Tudor domain containing 12 antibody, Tudor domain-containing protein 12 antibody

    UniProt

    Q587J7
You are here: