电话:
+86 (0512) 65829739
传真:
+86 (010) 6788 5057
电子邮件:
orders@antibodies-online.cn

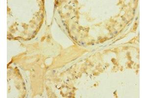
PCDH15 抗体 (AA 160-400)

The 兔 多克隆 anti-PCDH15 antibody is suitable to detect PCDH15 in samples from 人. It has been validated for IHC 和 ELISA.
产品编号 ABIN7166559
发货至: 中国
Contact our Customer Service for availability and price in your country. Contact Info

Our Local Distributor

中国
北京 101111
No. 88 KeChuang 6th Street
Beijing Economic Technological Development Area
Room 801-803
4A Biotech Co.,Ltd.
Tel +86 (0512) 65829739 传真 +86 (010) 6788 5057

Quick Overview for PCDH15 抗体 (AA 160-400) (ABIN7166559)

抗原

See all PCDH15 抗体
PCDH15 (Protocadherin-15 (PCDH15))

适用

  • 14
  • 7
  • 6
  • 2
  • 2
  • 1
  • 1
  • 1
  • 1
  • 1

宿主

  • 11
  • 3
  • 2

克隆类型

  • 14
  • 2
多克隆

标记

  • 16
This PCDH15 antibody is un-conjugated

应用范围

  • 14
  • 7
  • 4
  • 3
  • 3
  • 2
  • 2
  • 1
  • 1
  • 1
Immunohistochemistry (IHC), ELISA
  • 抗原表位

    • 2
    • 2
    • 2
    • 1
    • 1
    • 1
    • 1
    AA 160-400

    原理

    PCDH15 Antibody

    纯化方法

    Antigen Affinity Purified

    免疫原

    Recombinant Human Protocadherin-15 protein (160-400AA)

    亚型

    IgG
  • 应用备注

    Optimal working dilution should be determined by the investigator.

    限制

    仅限研究用
  • 状态

    Liquid

    缓冲液

    PBS with 0.02 % sodium azide, 50 % glycerol, pH 7.3.

    储存液

    Sodium azide

    注意事项

    This product contains Sodium azide: a POISONOUS AND HAZARDOUS SUBSTANCE which should be handled by trained staff only.

    储存条件

    -20 °C,-80 °C

    储存方法

    Upon receipt, store at -20°C or -80°C. Avoid repeated freeze.
  • 抗原

    PCDH15 (Protocadherin-15 (PCDH15))

    别名

    PCDH15

    背景

    Background: Calcium-dependent cell-adhesion protein. Essential for maintenance of normal retinal and cochlear function.

    Aliases: PCDH15 antibody, USH1F antibody, Protocadherin-15 antibody

    UniProt

    Q96QU1

    途径

    Sensory Perception of Sound
You are here: